შემაერთებელი (ღია) ჰიდროცეფალია ტვინშიდა სისხლჩაქცევის შემდეგ ანევრიზმის გასკდომის დროს
შემაერთებელი (ღია) ჰიდროცეფალია ანევრიზმული სუბარაქნოიდული სისხლჩაქცევის შემდეგ (მიმოხილვა)
შემაერთებელი (ღია) ჰიდროცეფალია არის ხშირი და მნიშვნელოვანი გართულება, რომელიც შეიძლება განვითარდეს ანევრიზმული სუბარაქნოიდული სისხლჩაქცევის (სას) შემდეგ [1, 2]. ობსტრუქციული (დახურული) ჰიდროცეფალიისგან განსხვავებით, სადაც პარკუჭოვან სისტემაში ფიზიკური ბლოკადაა, შემაერთებელი ჰიდროცეფალიის დროს დარღვეულია თავ-ზურგტვინის სითხის (თზს, ლიქვორის) უკუშეწოვა (აბსორბცია) სისხლძარღვოვან კალაპოტში, მიუხედავად იმისა, რომ თზს-ს თავისუფლად შეუძლია მოძრაობა პარკუჭებსა და სუბარაქნოიდულ სივრცეს შორის [1, 2]. ეს იწვევს თზს-ის დაგროვებას, პარკუჭების გაფართოებას და ინტრაკრანიალური (ქალაშიდა) წნევის (იწ) მომატებას [1].
პათოფიზიოლოგია და განმარტება
თავის ტვინის არტერიის ანევრიზმის გასკდომის შემდეგ, რაც ჩვეულებრივ იწვევს სუბარაქნოიდულ სისხლჩაქცევას (სას) (სისხლჩაქცევა თავის ტვინის გარემომცველ სივრცეში), შემაერთებელი (ღია) ჰიდროცეფალია წარმოადგენს ხშირ და მნიშვნელოვან გართულებას [1, 2]. "შემაერთებელი" ნიშნავს, რომ თავ-ზურგტვინის სითხეს (თზს) ჯერ კიდევ შეუძლია თავისუფლად მიმოქცევა პარკუჭებს შორის და გამოსვლა სუბარაქნოიდულ სივრცეში; პრობლემა პარკუჭოვანი სისტემის გარეთ მდებარეობს [1].
მთავარი მიზეზი თზს-ის აბსორბციის დარღვევაა [1, 2]. სას-ის დროს გამოყოფილი სისხლის კომპონენტები ცირკულირებს თზს-ში და შეიძლება გამოიწვიოს ანთება, ნაწიბურების წარმოქმნა ან არაქნოიდული გრანულაციების (პახიონის გრანულაციების) ფიზიკური ბლოკირება — ეს არის სპეციალიზებული სტრუქტურები, რომლებიც ძირითადად ზედა საგიტალური სინუსის გასწვრივ მდებარეობს და პასუხისმგებელია თზს-ის სისხლში უკუშეწოვაზე [1]. როდესაც აბსორბცია მცირდება, მაგრამ თზს-ის გამომუშავება ნორმალური ტემპით გრძელდება, თზს გროვდება, რაც იწვევს ინტრაკრანიალური (ქალაშიდა) წნევის (იწ) მომატებას და თავის ტვინის პარკუჭების (გვერდითი, მესამე და მეოთხე) გაფართოებას (დილატაციას) [1].
ეს მკვეთრად განსხვავდება *ობსტრუქციული* (დახურული) ჰიდროცეფალიისგან, სადაც ბლოკადა *თავად* პარკუჭოვან გზებში (მაგ., ტვინშიდა ან პარკუჭთაშიდა სისხლჩაქცევიდან წარმოქმნილი სისხლის კოლტით, ანდა მოცულობითი წარმონაქმნით) ხელს უშლის თზს-ის დინებას პარკუჭებს შორის [1].
დრო და რისკ-ფაქტორები
შემაერთებელი ჰიდროცეფალია შეიძლება განვითარდეს სას-ის შემდეგ სხვადასხვა დროს [1]:
- მწვავე ჰიდროცეფალია: შეიძლება განვითარდეს პირველი რამდენიმე დღის განმავლობაში, რაც ხშირად დაკავშირებულია სისხლის კოლტების საწყის მოცულობით (მასს) ეფექტთან, რომლებიც აფერხებენ თზს-ის გზებს, ან აბსორბციის ადრეულ დარღვევასთან.
- ქვემწვავე/ქრონიკული ჰიდროცეფალია: როგორც წესი, ვითარდება თავდაპირველი სისხლჩაქცევიდან რამდენიმე დღიდან კვირამდე (ხშირად პირველი 3 კვირის განმავლობაში, მაგრამ შეიძლება მოგვიანებითაც), როდესაც ანთებითი და ნაწიბუროვანი პროცესები აზიანებს არაქნოიდულ გრანულაციებს.
მთავარი რისკ-ფაქტორია სუბარაქნოიდული სისხლის რაოდენობა და მდებარეობა [1, 2]. პაციენტები, რომლებსაც პირველად კტ სკანირებაზე აღენიშნებათ სისხლის დიდი მოცულობა, განსაკუთრებით ბაზალურ ცისტერნებში (როგორიცაა გარემომცველი და სუპრასელარული ცისტერნები), სადაც თზს-ის გზებს კრიტიკული მნიშვნელობა აქვს, იმყოფებიან ჰიდროცეფალიის განვითარების უფრო მაღალი რისკის ქვეშ [1, 2].
კლინიკური სურათი
სას-ის შემდეგ შემაერთებელი ჰიდროცეფალიის სიმპტომები შეიძლება განსხვავდებოდეს სიჩქარისა და სიმძიმის მიხედვით [1]:
- მწვავე გამოვლინება: ხშირად ვლინდება ნევროლოგიური გაუარესებით პაციენტში, რომელიც უკვე იმყოფება მონიტორინგის ქვეშ სას-ის გამო. ეს შეიძლება მოიცავდეს:
- ცნობიერების დონის დაქვეითებას (ძილიანობა, რომელიც პროგრესირებს სტუპორამდე ან კომამდე).
- თავის ტკივილის გაძლიერებას.
- გულისრევას/ღებინებას.
- სასიცოცხლო მაჩვენებლების ან გუგების რეაქციების ცვლილებებს, რაც მიუთითებს იწ-ის მატებაზე.
- ქვემწვავე/ქრონიკული გამოვლინება: შეიძლება განვითარდეს უფრო თანდათანობით, ზოგჯერ თავდაპირველი სისხლჩაქცევიდან რამდენიმე კვირის შემდეგ და შეიძლება ჰგავდეს ნორმოტენზიულ ჰიდროცეფალიას (NPH). კლასიკური (თუმცა არა ყოველთვის სრულად წარმოდგენილი) "ჰაკიმის ტრიადა" მოიცავს:
- სიარულის დარღვევას: ხშირად პირველი და ყველაზე გამოხატული სიმპტომი; ხასიათდება ნაბიჯის გადადგმის გაძნელებით, ბარბაცით, „მაგნიტური სიარულით“ (ტერფები თითქოს იატაკზეა მიწებებული) და არასტაბილურობით.
- კოგნიტურ დაქვეითებას: პრობლემები მეხსიერებასთან, ყურადღებასთან, აღმასრულებელ ფუნქციებთან, აპათია, აზროვნების შენელება.
- შარდის შეუკავებლობას: თავდაპირველად ტიპურია იმპერატიული მოთხოვნილება ან გახშირება, რაც პროგრესირებს აშკარა შეუკავებლობამდე.
მნიშვნელოვანია, რომ ვიზუალიზაციაზე პარკუჭების გარკვეული ხარისხით გაფართოება შეიძლება მოხდეს თავდაპირველად მკაფიო სიმპტომების გამოწვევის გარეშე, რაც მოითხოვს ფრთხილ კლინიკურ კორელაციას [1].
| ფაზა | ტიპური ვადები SAH-ის შემდეგ | ხშირი სიმპტომები | ძირითადი ვიზუალიზაციური ნიშანი |
|---|---|---|---|
| მწვავე ჰიდროცეფალია | საათებიდან რამდენიმე დღემდე | ცნობიერების დონის დაქვეითება (LOC), თავის ტკივილი, ღებინება | ვენტრიკულომეგალია + სისხლი ცისტერნებში/პარკუჭებში (IVH) |
| ქვემწვავე/ქრონიკული | დღეებიდან რამდენიმე კვირამდე (ხშირად 1–3 კვირა) | სიარულის დარღვევა, კოგნიტური დეფიციტი, შარდის შეუკავებლობა (ჰაკიმის ტრიადა) | ვენტრიკულომეგალია, რომელიც არაპროპორციულია ატროფიასთან; პერივენტრიკულური ლუციდობა |
დიაგნოსტიკა და ვიზუალიზაცია
დიაგნოზი ეყრდნობა კლინიკურ ეჭვსა და ნეიროვიზუალიზაციას [1, 2, 3]:
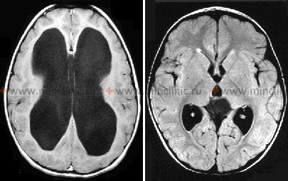
- თავის ტვინის კომპიუტერული ტომოგრაფია (კტ) ან მაგნიტურ-რეზონანსული ტომოგრაფია (მრტ): ეს კვლევები აუცილებელია პარკუჭების ვიზუალიზაციისთვის. ძირითადი ნიშნები მოიცავს:
- ვენტრიკულომეგალია: გვერდითი, მესამე და მეოთხე პარკუჭების გაფართოება, რაც ხშირად არაპროპორციულია ნებისმიერი თანმხლები ცერებრული ატროფიის მიმართ.
- ნიშნები, რომლებიც მიუთითებს თზს-ის დინების/აბსორბციის დარღვევაზე: პერივენტრიკულური გამჭვირვალობა/შეშუპება (ტრანსეპენდიმური თზს-ის გაჟონვა), თავის ტვინის კონვექსიტალურ ზედაპირზე ქერქის ღარების გადასწორება, შუბლის რქების მომრგვალება.
- ევანსის ინდექსი (შუბლის რქის მაქსიმალური სიგანის შეფარდება თავის ქალას შიდა მაქსიმალურ დიამეტრთან) > 0.3 ხშირად გამოიყენება როგორც რაოდენობრივი მაჩვენებელი.
- კლინიკურ სიმპტომებთან კორელაცია: ვიზუალიზაციის მონაცემები ინტერპრეტირებული უნდა იყოს პაციენტის კლინიკური სურათის კონტექსტში. მხოლოდ პარკუჭების გაფართოება არ არის საკმარისი დიაგნოზისთვის; სიმპტომატური ჰიდროცეფალია მოითხოვს როგორც ვიზუალიზაციის მტკიცებულებას, ასევე შესაბამის კლინიკურ ნიშნებს.
- ლუმბალური პუნქცია (ლპ): შეუძლია გაზომოს საწყისი წნევა (შეიძლება იყოს მომატებული, ნორმალური ან დაბალი ეტაპისა და კომპლაენსის მიხედვით) და იძლევა თზს-ის გამოშვების საშუალებას (სადიაგნოსტიკო "tap test", სადაც 30-50 მლ თზს-ის ამოღების შემდეგ სიმპტომების დროებითი გაუმჯობესება ადასტურებს დიაგნოზს, განსაკუთრებით ქრონიკული ჰიდროცეფალიის დროს). თზს-ის ანალიზი ასევე გამორიცხავს ინფექციას. *საჭიროა სიფრთხილე, თუ არსებობს რაიმე ეჭვი არა-შემაერთებელ (დახურულ) ჰიდროცეფალიაზე ან მოცულობით ეფექტზე, სადაც ლპ-მ შეიძლება გამოიწვიოს ჩაჭედვის (თიაქრის) რისკი.*
ვენტრიკულომეგალიის/ჰიდროცეფალიის სიმპტომების დიფერენციალური დიაგნოსტიკა სას-ის შემდეგ [1, 3]
| მდგომარეობა | ძირითადი მახასიათებლები / განმასხვავებელი ნიშნები | ტიპური სურათი ვიზუალიზაციაზე / თავ-ზურგტვინის სითხის (თზს) მონაცემები |
|---|---|---|
| შემაერთებელი ჰიდროცეფალია (სას-ის შემდგომი) | ვითარდება სას-იდან რამდენიმე დღის/კვირის შემდეგ. სიარულის დარღვევა, კოგნიტური დაქვეითება, შარდის შეუკავებლობა (ქრონიკული ტრიადა). ან ცნობიერების დონის მწვავე დაქვეითება. გამოწვეულია თზს-ის აბსორბციის დარღვევით. | კტ/მრტ: ვენტრიკულომეგალია (გაფართოებულია ყველა პარკუჭი), რაც არაპროპორციულია ატროფიის. ნორმალური/გამავალი თზს-ის გზები. ლპ: წნევა ცვალებადია (მაღალი/ნორმალური/დაბალი), თზს-ის შემადგენლობა ჩვეულებრივ ნორმალურია (თუ არ არის ახალი სისხლჩაქცევა). დადებითი პასუხი თზს-ის დრენირებაზე. |
| ობსტრუქციული ჰიდროცეფალია (მწვავე სას-ის შემდგომი) | ცნობიერების დონის უეცარი დაქვეითება, თავის ტკივილი, ღებინება. ხშირად გამოწვეულია პარკუჭთაშიდა ან დიდი ტვინშიდა სისხლჩაქცევით, რომელიც ბლოკავს სილვიის წყალსადენს ან მე-4 პარკუჭის გამოსავალს. | კტ/მრტ: პარკუჭების გაფართოება ობსტრუქციის *პროქსიმალურად* (მაგ., გაფართოებულია გვერდითი და მე-3 პარკუჭები, მე-4 პარკუჭი ნორმალური/მცირე ზომისაა). ობსტრუქციის გამომწვევი დაზიანება (კოლტი, მოცულობითი წარმონაქმნი) ხილულია. ლპ უკუნაჩვენებია. |
| დაყოვნებული ცერებრული იშემია ვაზოსპაზმის გამო | ტიპურად ვითარდება სას-იდან 4-14 დღის შემდეგ. ახალი კეროვანი ნევროლოგიური დეფიციტი (ჰემიპარეზი, აფაზია) ან ცნობიერების დონის დაქვეითება. შეიძლება ახლდეს თავის ტკივილი. | თავის კტ ხშირად ნორმალურია თავდაპირველად (ახალი სისხლჩაქცევის/ჰიდროცეფალიის გარეშე). კტ-პერფუზიამ/მრტ-მ შეიძლება აჩვენოს იშემია. ანგიოგრაფია ადასტურებს ვაზოსპაზმს. ტრანსკრანიალური დოპლერი (TCD) აჩვენებს სისხლის ნაკადის მაღალ სიჩქარეებს. |
| ანევრიზმის განმეორებითი გასკდომა | ცნობიერების დონის უეცარი, კატასტროფული დაქვეითება, ხშირად თავის ტკივილის ძლიერი მატება, ახალი დეფიციტი. ყველაზე მაღალი რისკი ადრეულ ეტაპზეა. | განმეორებითი თავის კტ აჩვენებს ახალ/გაზრდილ სისხლჩაქცევას (სას, პარკუჭთაშიდა, ტვინშიდა). |
| თავის ტვინის შეშუპება | შეშუპება საწყისი სისხლჩაქცევის უბნის გარშემო ან ვაზოსპაზმთან დაკავშირებული ინფარქტის გამო. შეუძლია გამოიწვიოს იწ-ის მატება, ცნობიერების დონის დაქვეითება, ჩაჭედვა (თიაქარი). | კტ/მრტ აჩვენებს შეშუპებას (დაბალი სიმკვრივე/T2-ზე ჰიპერინტენსიური სიგნალი), მოცულობით ეფექტს, შუახაზის სტრუქტურების ცდომას. პარკუჭები შეიძლება იყოს შეკუმშული თავდაპირველად და არა გაფართოებული. |
| კრუნჩხვები / ეპილეფსიური სტატუსი | შეუძლია გამოიწვიოს ცნობიერების შეცვლა ან ტრანზიტული კეროვანი დეფიციტი (ტოდის პარეზი). | ელექტროენცეფალოგრამა (ეეგ) ადასტურებს კრუნჩხვით აქტივობას. ვიზუალიზაცია გამორიცხავს ახალ სტრუქტურულ მიზეზს. |
| სისტემური გართულებები (მაგ., სეფსისი, ჰიპონატრიემია) | ცნობიერების შეცვლა შეიძლება გამოწვეული იყოს ინფექციით, ელექტროლიტური დისბალანსით, ჰიპოქსიით და ა.შ. | შესაბამისი სისტემური გამოკვლევები (ლაბორატორია, კულტურები). თავის ვიზუალიზაცია ჩვეულებრივ ნორმალურია. |
| ცერებრული ატროფია (Ex Vacuo ვენტრიკულომეგალია) | გაფართოებული პარკუჭები თავის ტვინის ქსოვილის დაკარგვის გამო (მაგ., გადატანილი ინსულტი, ნეიროდეგენერაცია) და არა თზს-ის დინამიკის დარღვევის გამო. ხშირად ასოცირდება კოგნიტურ დაქვეითებასთან, მაგრამ ჩვეულებრივ არ არის სიარულის/შეუკავებლობის ტრიადა. | კტ/მრტ აჩვენებს ვენტრიკულომეგალიას, რომელიც პროპორციულია ღარების გაფართოების/ატროფიის. ლპ წნევა ნორმალურია. არ არის პასუხი თზს-ის დრენირებაზე. |
მკურნალობის მიდგომები
მართვა დამოკიდებულია სიმპტომების სიმძიმესა და გამოვლინების სისწრაფეზე [1, 2].
- კონსერვატიული მართვა / მონიტორინგი: პარკუჭების მსუბუქი გაფართოება მნიშვნელოვანი სიმპტომების გარეშე შეიძლება დაექვემდებაროს მონიტორინგს სერიული ვიზუალიზაციით და კლინიკური შეფასებებით, რადგან ზოგიერთი შემთხვევა შეიძლება დასტაბილურდეს ან გაუმჯობესდეს, განსაკუთრებით თუ საწყისი სას-ის მოცულობა მცირე იყო [1].
- დროებითი თზს დრენირება: მწვავე სიმპტომატური ჰიდროცეფალიის დროს, რომელიც იწვევს ნევროლოგიურ გაუარესებას, ხშირად აუცილებელია თზს-ის დროებითი დრენირება [1, 2]:
- გარეგანი ვენტრიკულური დრენაჟი (EVD): კათეტერი თავსდება ერთ-ერთ გვერდით პარკუჭში და უკავშირდება გარე სადრენაჟო სისტემას თზს-ის მოსაცილებლად და იწ-ის მონიტორინგისთვის. გამსკდარი ანევრიზმის ზუსტი მდებარეობის ცოდნა (თუ ჯერ არ არის იზოლირებული) კრიტიკულია, რათა თავიდან ავიცილოთ დაზიანება EVD-ს მოთავსების დროს.
- ლუმბალური დრენაჟი (LD): კათეტერი თავსდება წელის (ლუმბალურ) სუბარაქნოიდულ სივრცეში სადრენაჟოდ. მისი გამოყენება შესაძლებელია მხოლოდ იმ შემთხვევაში, თუ დადასტურებულია შემაერთებელი ჰიდროცეფალია და არ არის მნიშვნელოვანი ინტრაკრანიალური მოცულობითი ეფექტი.
- მუდმივი თზს დრენირება (შუნტირება): თუ ჰიდროცეფალია ნარჩუნდება და რჩება სიმპტომატური, ან ქრონიკული ჰიდროცეფალიის დროს, ჩვეულებრივ საჭიროა მუდმივი შუნტი [1, 2]. ეს გულისხმობს სისტემის ქირურგიულ იმპლანტაციას ჭარბი თზს-ის გადასატანად სხეულის სხვა ღრუში, სადაც მოხდება მისი აბსორბცია [4]:
- ვენტრიკულოპერიტონეალური (VP) შუნტი: ყველაზე გავრცელებული ტიპი; დრენირებს თზს-ს პარკუჭიდან მუცლის ღრუში (პერიტონეუმში).
- ლუმბოპერიტონეალური (LP) შუნტი: დრენირებს თზს-ს ლუმბალური სუბარაქნოიდული სივრციდან მუცლის ღრუში; შესაფერისია მხოლოდ შემაერთებელი ჰიდროცეფალიისთვის ნორმალური ან დაბალი წნევით.
- სხვა ტიპები (მაგ., ვენტრიკულოატრიული, ვენტრიკულოპლევრული) ნაკლებად გავრცელებულია.
- ენდოსკოპიური მესამე ვენტრიკულოსტომია (ETV): პროცედურა, რომელიც ზოგჯერ გამოიყენება *ობსტრუქციული* ჰიდროცეფალიის დროს, მესამე პარკუჭის ფსკერზე ხვრელის შექმნით ბლოკადის გვერდის ავლის მიზნით [4]. ის, როგორც წესი, *არ* არის ეფექტური შემაერთებელი ჰიდროცეფალიის დროს, სადაც ძირითადი პრობლემა აბსორბციაა [1].
მუდმივი შუნტის დაყენების გადაწყვეტილება ეფუძნება პერსისტულ სიმპტომებსა და ვიზუალიზაციის მონაცემებს, რასაც ხშირად ეხმარება დროებით დრენირებაზე (EVD ან ლპ tap test) პასუხი [1, 2].
ლიტერატურა
- Ropper AH, Samuels MA, Klein JP, Prasad S. Adams and Victor's Principles of Neurology. 11th ed. McGraw Hill; 2019. Chapter 34: Cerebrovascular Diseases (Section on Complications of SAH, including Hydrocephalus).
- Connolly ES Jr, Rabinstein AA, Carhuapoma JR, et al; American Heart Association Stroke Council; Council on Cardiovascular Radiology and Intervention; Council on Cardiovascular Nursing; Council on Cardiovascular Surgery and Anesthesia; Council on Clinical Cardiology. Guidelines for the management of aneurysmal subarachnoid hemorrhage: a guideline for healthcare professionals from the American Heart Association/American Stroke Association. Stroke. 2012 Jun;43(6):1711-37.
- Osborn AG, Hedlund GL, Salzman KL. Osborn's Brain: Imaging, Pathology, and Anatomy. 2nd ed. Elsevier; 2017. Section on Hydrocephalus.
- Greenberg MS. Handbook of Neurosurgery. 9th ed. Thieme; 2019. Chapter 17: Hydrocephalus & Chapter 18: Cerebrospinal Fluid Shunts.
იხილეთ აგრეთვე
- სიგმოიდური სინუსის ჩირქოვანი თრომბოფლებიტი თრომბოზით
- სპონტანური ინტრაკრანიალური (სუბარაქნოიდული) და ინტრაცერებრული სისხლჩაქცევა:
- გიგანტური ინტრაკრანიალური ანევრიზმები
- თავის ტვინის არტერიოვენოზური მალფორმაციები
- ინტრაცერებრული სისხლჩაქცევის სხვა მიზეზები
- კომუნიკაციური ჰიდროცეფალია ინტრაცერებრული სისხლჩაქცევის შემდეგ გამსკდარი ანევრიზმით
- ლობარული ინტრაცერებრული სისხლჩაქცევა
- მიკოზური ინტრაკრანიალური ანევრიზმები
- საკულარული ანევრიზმა და სუბარაქნოიდული სისხლჩაქცევა
- ცერებრალური არტერიების ანთებითი დაავადებები (ცერებრალური არტერიიტი)
- ცერებრალური არტერიის ანევრიზმის განმეორებითი გასკდომა
- ცერებრალური ვაზოსპაზმი
- ჰიპერტენზიული ინტრაცერებრული სისხლჩაქცევა
- თავის ტვინის იშემიური დაავადება:
- ათეროსკლეროზული თრომბოზი
- ვერტებრობაზილარული და ტვინის უკანა არტერიების ათეროთრომბოზული ოკლუზია
- ძირითადი არტერიის ათეროთრომბოზული ოკლუზია
- იშემიური ინსულტის (ცერებრალური ინფარქტის) სხვა მიზეზები
- კაროტიდული ბიფურკაციის უსიმპტომო სტენოზი შუილით
- მცირე სისხლძარღვების ინსულტი (ლაკუნური ინფარქტი)
- ტვინის უკანა არტერიის ათეროთრომბოზული ოკლუზია
- ცერებრალური ემბოლია
- შიდა საძილე არტერიის ათეროთრომბოზული ოკლუზია
- ხერხემლისა და უკანა ქვედა ნათხემის არტერიების (PICA) ათეროთრომბოზული ოკლუზია
- იშემიური ინსულტი, ტრანზიტული იშემიური შეტევა (TIA), თავის ტვინის იშემია
- ვერტებრობაზილარული უკმარისობა (VBI) თავბრუსხვევის სიმპტომით
- ცერებროვასკულური დაავადებები - იშემიური ინსულტი, ტრანზიტული იშემიური შეტევა (TIA):

