ინტრაცერებრული სისხლჩაქცევის სხვა მიზეზები
ინტრაცერებრული სისხლჩაქცევა თავის ტრავმის (ქალა-ტვინის ტრავმა - TBI) შემდეგ
თავის ტრავმა ინტრაკრანიალური სისხლდენის ხშირი მიზეზია [1, 2]. ტრავმის მექანიზმისა და სიმძიმის მიხედვით, ტრავმამ შეიძლება გამოიწვიოს სხვადასხვა ტიპის სისხლჩაქცევა, მათ შორის ინტრაცერებრული ჰემატომა (სისხლდენა თავის ტვინის პარენქიმაში), უკანა ფოსოს ჰემატომები (სუბტენტორიული, აზიანებს ნათხემს ან ტვინის ღეროს), სუბარაქნოიდული სისხლჩაქცევა (სისხლდენა თავის ტვინის გარშემო არსებულ სივრცეში), მწვავე ან ქრონიკული სუბდურული ჰემატომა (სისხლდენა მაგარი გარსის ქვეშ) და მწვავე ეპიდურული ჰემატომა (სისხლდენა მაგარ გარსსა და თავის ქალას შორის) [1, 2]. ტრავმული ინტრაცერებრული ჰემატომები (დაჟეჟილობები, რომლებიც ერთიანდება უფრო დიდ სისხლჩაქცევებად) ხშირად გვხვდება სპეციფიკურ ლოკაციებზე, რომლებიც მგრძნობიარეა დარტყმა-უკუდარტყმის (coup-contrecoup) ტიპის დაზიანებების მიმართ, როგორიცაა საფეთქლის წილები (განსაკუთრებით პოლუსები) და შუბლის წილების ქვედა ნაწილები [1, 2].
გადამწყვეტია ტრავმული ინტრაცერებრული სისხლჩაქცევის გათვალისწინება უცნობი წარმოშობის მწვავე ნევროლოგიური დეფიციტის მქონე პაციენტების დიფერენციალურ დიაგნოზში, განსაკუთრებით თუ ის დაიწყო დაცემის ან სხვა პოტენციური დაზიანების შემდეგ, თუნდაც ერთი შეხედვით უმნიშვნელოსი [1]. ისეთი სიმპტომები, როგორიცაა ჰემიპარეზი (ცალმხრივი სისუსტე), სტუპორი (დაქვეითებული რეაქტიულობა) ან დეზორიენტაცია, შეიძლება ჰგავდეს მწვავე ინსულტს. თავის ტვინის დაუყოვნებელი ვიზუალიზაცია, რომელიც ჩვეულებრივ იწყება უკონტრასტო კტ სკანირებით, აუცილებელია დიაგნოსტიკისთვის [2, 3]. მრტ-მ შეიძლება უზრუნველყოს მეტი დეტალი ასოცირებული დაზიანებების შესახებ [3]. მიუხედავად იმისა, რომ ანგიოგრაფია რუტინულად არ არის საჭირო მარტივი ტრავმული ჰემატომებისთვის, ის შეიძლება განიხილებოდეს, თუ არსებობს ეჭვი ძირითად სისხლძარღვოვან დაზიანებაზე (მაგ., ტრავმული ანევრიზმა ან დისექცია), რომელიც ხელს უწყობს სისხლჩაქცევას [1]. სწრაფი დიაგნოსტიკა სასიცოცხლოდ მნიშვნელოვანია, რადგან ქირურგიული ჩარევა (ჰემატომის ევაკუაცია) შეიძლება იყოს სიცოცხლის გადამრჩენი მნიშვნელოვანი მას-ეფექტის ან ქალასშიდა წნევის მომატების შემთხვევებში [2].
| მიზეზი | ტიპური ლოკალიზაცია | ძირითადი რისკი / ნიშანი |
|---|---|---|
| ტრავმული ICH | წინა/გვერდითი წილები (კონტუზიები) | თავის ტრავმის ანამნეზი |
| სიმსივნის სისხლჩაქცევა | სიმსივნის შიგნით | მეტასტაზები (მელანომა, თირკმლის უჯრედოვანი, ფილტვის) |
| კოაგულოპათია / ანტიკოაგულანტები | ნებისმიერი ადგილი, ხშირად დიდი/გაფართოებადი | არანორმალური INR, დაბალი თრომბოციტები |
| ცერებრული ამილოიდური ანგიოპათია (CAA) | ლობარული (ქერქოვანი/ქვექერქოვანი) | ხანდაზმულები, რეციდივირებადი ლობარული სისხლჩაქცევები |
ინტრაცერებრული სისხლჩაქცევა ასოცირებული კოაგულოპათიასა და ჰემოპოეზურ დარღვევებთან
ინტრაცერებრული სისხლჩაქცევა შეიძლება იყოს სერიოზული გართულება ძირითადი ჰემატოლოგიური დაავადებების ან კოაგულოპათიების (სისხლის შედედების დარღვევები) მქონე პაციენტებში [1, 4]. ისეთი მდგომარეობები, როგორიცაა ლეიკემია, აპლასტიური ანემია (ძვლის ტვინის უკმარისობა) და თრომბოციტოპენიური პურპურა (მდგომარეობები თრომბოციტების ძალიან დაბალი რაოდენობით, როგორიცაა ITP ან TTP), აფერხებს ორგანიზმის უნარს, შექმნას კოლტები და შეაჩეროს სისხლდენა [1, 4]. ამ სისტემურ ჰემატოლოგიურ დარღვევებთან ასოცირებული ჰემატომები შეიძლება მოხდეს სპონტანურად თავის ტვინის (ინტრაკრანიალურად) ნებისმიერ ადგილას და ზოგჯერ შეიძლება გამოვლინდეს მრავლობითი ერთდროული ინტრაცერებრული სისხლჩაქცევების სახით [1]. პოტენციური სადიაგნოსტიკო მინიშნება ამ პაციენტებში არის ხილული სისხლჩაქცევების ხშირი არსებობა სხეულის სხვა ნაწილებში, როგორიცაა პეტექიები ან პურპურა კანზე და სისხლდენა ლორწოვანი გარსებიდან (მაგ., ღრძილებიდან, ცხვირიდან) [1].
ინტრაცერებრული სისხლჩაქცევები პაციენტებში, რომლებიც იღებენ ანტიკოაგულანტურ თერაპიას (როგორიცაა ვარფარინი, ჰეპარინი ან პირდაპირი მოქმედების ორალური ანტიკოაგულანტები), ასევე შეიძლება განვითარდეს ნებისმიერ ინტრაცერებრულ ლოკაციაზე [1, 5]. ტიპურ ჰიპერტენზიულ სისხლჩაქცევებთან შედარებით, ეს სისხლჩაქცევები შეიძლება ზოგჯერ უფრო ნელა განვითარდეს ან განმეორებით დაიწყოს სისხლდენა საწყისი 24-48 საათის განმავლობაში [5]. სწრაფი ამოცნობა და მართვა კრიტიკულია. კოაგულოპათიის მქონე პაციენტებში (მაგ., ანტიკოაგულანტების ან ღვიძლის დაავადების გამო), რომელიც გართულებულია ინტრაცერებრული სისხლჩაქცევით, ხშირად ნაჩვენებია კოაგულოპათიის გადაუდებელი შექცევადობა, რაც პოტენციურად მოიცავს ისეთ საშუალებებს, როგორიცაა K ვიტამინი, პროთრომბინის კომპლექსის კონცენტრატები (PCCs) ან ახლადგაყინული პლაზმა (FFP), კონკრეტული მიზეზის მიხედვით [5]. თუ მნიშვნელოვანი ინტრაცერებრული სისხლჩაქცევა ხდება პაციენტში, რომელიც იღებს ანტიაგრეგანტებს, როგორიცაა ასპირინი ან კლოპიდოგრელი, თრომბოციტების ტრანსფუზია შეიძლება განიხილებოდეს გარკვეულ სიტუაციებში (განსაკუთრებით თუ გადაუდებელი ნეიროქირურგიაა საჭირო), თუმცა მისი სარგებელი შედეგების გაუმჯობესებაში საკამათოა და არ არის რუტინულად რეკომენდებული სპონტანური ICH-სთვის [5].
სისხლჩაქცევა თავის ტვინის სიმსივნეში
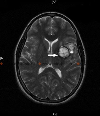
პირველად ან მეტასტაზურ თავის ტვინის სიმსივნეში უშუალოდ სისხლდენა (ინტრატუმორული სისხლჩაქცევა) ზოგჯერ შეიძლება იყოს საწყისი კლინიკური გამოვლინება, რომელიც იწვევს ინტრაცერებრული ნეოპლაზმის დიაგნოზს [1, 6]. თავის ტვინის სიმსივნეების გარკვეული ტიპები უფრო მეტად არიან მიდრეკილნი სისხლჩაქცევებისკენ, ვიდრე სხვები [6]. სისხლდენის შედარებით მაღალ რისკთან ასოცირებული ხშირი მეტასტაზური თავის ტვინის სიმსივნეები მოიცავს ქორიოკარცინომას, ავთვისებიან მელანომას, თირკმელუჯრედოვან კარცინომას და ფილტვის კიბოს გარკვეულ ტიპებს (ბრონქოგენური კარცინომა)[1, 6]. პირველად თავის ტვინის სიმსივნეებს შორის, გლიობლასტომა მულტიფორმე (ყველაზე გავრცელებული ავთვისებიანი პირველადი თავის ტვინის სიმსივნე მოზრდილებში) და, უფრო იშვიათად, მედულობლასტომა (ხშირი ავთვისებიანი თავის ტვინის სიმსივნე ბავშვებში, ტიპურად განლაგებული ნათხემში) ცნობილია, რომ ზოგჯერ ვლინდება ან უვითარდება ინტრატუმორული სისხლჩაქცევა[1, 6].
ინტრაცერებრული და სპინალური სისხლჩაქცევის სხვა მიზეზები
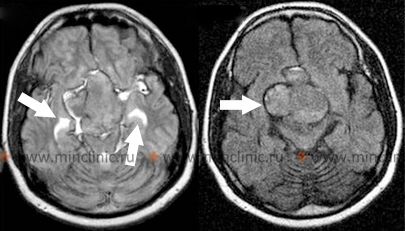
ზოგჯერ, პაციენტებს აღენიშნებათ ინტრაცერებრული სისხლჩაქცევები, სადაც ძირითადი ეტიოლოგია საწყის ეტაპზე უცნობი რჩება სტანდარტული გამოკვლევების შემდეგ [1]. ეს კრიპტოგენური სისხლჩაქცევები ზოგჯერ შეიძლება იყოს მეორადი მცირე, ფარული სისხლძარღვოვანი დაზიანებების მიმართ, რომელთა აღმოჩენა რთულია საწყის ვიზუალიზაციაზე, როგორიცაა მცირე ანგიოგრაფიულად ოკულტური (უხილავი) სისხლძარღვოვანი მალფორმაციები (მაგ., კავერნოზული მალფორმაციები, განვითარების ვენური ანომალიები ასოცირებული სისხლჩაქცევასთან), მცირე არტერიოვენური მალფორმაციები (ავმ) ან მიკროანევრიზმები[1, 7]. კიდევ ერთი მნიშვნელოვანი მიზეზი, განსაკუთრებით ლობარული სისხლჩაქცევებისა ხანდაზმულებში, არის ცერებრული ამილოიდური ანგიოპათია (CAA), მდგომარეობა, როდესაც ამილოიდური ცილის დეპოზიტები ასუსტებს მცირე და საშუალო ზომის კორტიკალური და ლეპტომენინგეალური არტერიების კედლებს, რაც მათ გასკდომისკენ მიდრეკილს ხდის [1, 7].
პირველადი ინტრავენტრიკულური სისხლჩაქცევა (სისხლდენა, რომელიც წარმოიქმნება მხოლოდ პარკუჭებში) იშვიათია მოზრდილებში და ხშირად მიუთითებს ფარულ ინტრავენტრიკულურ სიმსივნეზე, ავმ-ზე ან პარკუჭთან ახლოს ანევრიზმის გასკდომაზე[1]. უფრო ხშირად, ინტრავენტრიკულური სისხლჩაქცევა მეორადია მიმდებარე პარენქიმული სისხლჩაქცევის (მაგ., ჰიპერტენზიული სისხლდენა ბაზალურ განგლიებში ან თალამუსში) გასკდომისა და პარკუჭოვან სისტემაში გავრცელების გამო[1]. ეს გავრცელება პარკუჭებში ზოგჯერ შეიძლება მოხდეს პარენქიმული კომპონენტისგან მოსალოდნელი ტიპური ფოკალური ნევროლოგიური სიმპტომების გამოწვევის გარეშე [1].
ენცეფალიტის გარკვეულ ტიპებს შეიძლება ჰქონდეს ჰემორაგიული მახასიათებლები[1]. ჰემორაგიული ლეიკოენცეფალიტი არის მძიმე, ხშირად ელვისებური, ანთებითი მდგომარეობა, რომელიც პათოლოგიურად ხასიათდება მრავალი მცირე, წერტილოვანი სისხლჩაქცევით (პეტექიები) უპირატესად თეთრ ნივთიერებაში [1]. ცერებროსპინალური სითხის (ცსს) ანალიზი, როგორც წესი, არ ავლენს ხილულ სისხლს (მკვეთრი ქსანთოქრომია ან ერითროციტების მაღალი რაოდენობა) ამ მდგომარეობისას, რაც ეხმარება მის გარჩევას უფრო დიდი სისხლჩაქცევებისგან [1]. პეტექიური სისხლჩაქცევის ეს პატერნი ზოგჯერ ასოცირდება მძიმე სისტემურ ინფექციებთან, როგორიცაა გრამ-უარყოფითი ბაქტერიული სეფსისი, ან გარკვეულ ვირუსულ ინფექციებთან [1].
მარტივი ჰერპეს ვირუსის (HSV) ენცეფალიტის დროს, რომელიც ჩვეულებრივ აზიანებს საფეთქლის წილებს, ჰემორაგიული ნეკროზი ხშირი მახასიათებელია და ცერებროსპინალური სითხის (ცსს) ანალიზმა შეიძლება გამოავლინოს ერითროციტების არსებობა მომატებულ ლეიკოციტებთან და ცილასთან ერთად [1].
მეორადი ტვინის ღეროს სისხლჩაქცევები (ხშირად უწოდებენ დიურეს (Duret) სისხლჩაქცევებს) შეიძლება მოხდეს მძიმედ მომატებული ქალასშიდა წნევის შედეგად, რაც იწვევს დაღმავალ ტრანსტენტორიულ ჩაჭედვას, რაც იწვევს ტვინის ღეროს მკვებავი მცირე პერფორანტული არტერიების დაჭიმვას და გაგლეჯას [1]. ეს, როგორც წესი, ხდება პაციენტებში, რომლებიც უკვე კომატოზურ მდგომარეობაში არიან პირველადი ტვინის დაზიანების გამო (მაგ., დიდი სუპრატენტორიული სისხლჩაქცევა ან სიმსივნე) და არ ვლინდებიან პირველადი ტვინის ღეროს ინსულტის ტიპური ფოკალური ნევროლოგიური ნიშნებით [1].
სისტემურმა ვასკულიტმა (არტერიიტი), განსაკუთრებით ისეთმა მდგომარეობებმა, როგორიცაა კვანძოვანი პოლიარტერიიტი (PAN) და სისტემური წითელი მგლურა (SLE), შეიძლება იშვიათად მოიცვას ცერებრული სისხლძარღვები და გამოიწვიოს ცენტრალური ნერვული სისტემის სისხლჩაქცევა, ზოგჯერ ასოცირებული ფონურ ჰიპერტენზიასთან, რომელიც ასევე შეიძლება დაკავშირებული იყოს სისტემურ დაავადებასთან (მაგ., მგლურას ნეფრიტი) [1].
სისხლჩაქცევა ზურგის ტვინის შიგნით (ჰემატომიელია) ან მიმდებარე სივრცეებში (ეპიდურული ან სუბდურული ჰემატომა) გაცილებით იშვიათია, ვიდრე ინტრაკრანიალური სისხლჩაქცევა [1, 8]. ზურგის ტვინის სისხლჩაქცევა ტიპურად გამოწვეულია ფარული სპინალური არტერიოვენური მალფორმაციებით (ავმ), კავერნოზული მალფორმაციებით ან მეტასტაზური სიმსივნეებით [1, 8]. სპინალური ეპიდურული სისხლჩაქცევა (სისხლდენა ზურგის ტვინის გარშემო არსებული მაგარი გარსის გარეთა სივრცეში), რომელიც ხშირად დაკავშირებულია ანტიკოაგულაციასთან, ტრავმასთან ან ისეთ პროცედურებთან, როგორიცაა ლუმბალური პუნქცია, შეიძლება გამოიწვიოს ზურგის ტვინის სწრაფი კომპრესია, რაც იწვევს ძლიერ ტკივილს და სწრაფად პროგრესირებად ნევროლოგიურ დეფიციტებს (მაგ., სისუსტე, დამბლა) [1, 8]. ეს წარმოადგენს ნევროლოგიურ გადაუდებელ მდგომარეობას, რომელიც მოითხოვს დაუყოვნებლივ ამოცნობას და ხშირად სასწრაფო ქირურგიულ ჩარევას (დეკომპრესიას) მუდმივი პარაპლეგიის ან კვადრიპლეგიის თავიდან ასაცილებლად [8].
ინტრაკრანიალური სისხლჩაქცევის დიფერენციალური დიაგნოზი [1, 3, 7, 9]
| ტიპი / მიზეზი | ტიპური ლოკაცია / მახასიათებლები | ხშირი ასოციაციები / რისკ-ფაქტორები |
|---|---|---|
| ჰიპერტენზიული ინტრაცერებრული სისხლჩაქცევა (ICH) | ღრმა სტრუქტურები: ბაზალური განგლიები (შემოკრებილი ბირთვი - putamen), თალამუსი, ხიდი, ნათხემი. | ქრონიკული ჰიპერტენზია (ყველაზე გავრცელებული საერთო მიზეზი). |
| ლობარული ICH (არატრავმული) | ზედაპირული (კორტიკალური/სუბკორტიკალური) ტვინის წილების შიგნით. | ცერებრული ამილოიდური ანგიოპათია (CAA) ხანდაზმულებში; ავმ, კავერნომა, სიმსივნური სისხლჩაქცევა შესაძლებელია ნებისმიერ ასაკში. ანტიკოაგულაცია. |
| სუბარაქნოიდული სისხლჩაქცევა (SAH) | სისხლი სუბარაქნოიდულ სივრცეში (ცისტერნები, ღარები). „მეხის გავარდნისებრი“ (thunderclap) თავის ტკივილი. | გამსკდარი ტომრისებრი ანევრიზმა (~85%); ავმ, ტრავმა, სხვა სისხლძარღვოვანი მალფორმაციები. |
| ტრავმული ინტრაკრანიალური სისხლჩაქცევა (ICH, SDH, EDH, SAH) | ICH: შუბლის/საფეთქლის წილები (დაჟეჟილობები). SDH: ნამგლისებრი, კვეთს ნაკერებს. EDH: ოსპისებრი, არ კვეთს ნაკერებს, ხშირად მოტეხილობით. SAH: შეიძლება მოხდეს ტრავმის დროს. | თავის ტრავმის ანამნეზი. ლოკაცია დამოკიდებულია დარტყმაზე/მექანიზმზე. |
| სისხლჩაქცევა სიმსივნეში | სისხლდენა წინასწარ არსებულ მოცულობით დაზიანებაში. | პირველადი (მაგ., გლიობლასტომა) ან მეტასტაზური სიმსივნეები (მაგ., მელანომა, თირკმელუჯრედოვანი კარცინომა - RCC, ქორიოკარცინომა, ფილტვი). |
| სისხლძარღვოვანი მალფორმაციის სისხლჩაქცევა (ავმ, კავერნომა) | ლოკაცია დამოკიდებულია მალფორმაციის ადგილზე. ხშირად პარენქიმული +/- ინტრავენტრიკულური/სუბარაქნოიდული. | ფარული ავმ ან კავერნომა იდენტიფიცირებული ვიზუალიზაციით (მრტ/ანგიოგრაფია). |
| ანტიკოაგულანტებთან ასოცირებული ICH | შეიძლება მოხდეს ნებისმიერ ადგილას. შეიძლება იყოს უფრო დიდი ან გაფართოვდეს უფრო მეტად, ვიდრე არაანტიკოაგულირებული სისხლდენები. | ვარფარინის, ჰეპარინის, DOAC-ების გამოყენება. კოაგულაციის კვლევები (INR, PTT) პათოლოგიურია. |
| ჰემატოლოგიური დარღვევა / კოაგულოპათია | შეიძლება მოხდეს ნებისმიერ ადგილას, შეიძლება იყოს მრავლობითი. ხშირად აღინიშნება ასოცირებული სისტემური სისხლდენა. | ლეიკემია, აპლასტიური ანემია, თრომბოციტოპენია, ღვიძლის დაავადება, DIC. სისხლის პათოლოგიური ანალიზები/კოაგულოგრამა. |
| იშემიური ინსულტის ჰემორაგიული ტრანსფორმაცია | სისხლდენა ხდება წინა ინფარქტის არეში, ხშირად რამდენიმე დღის შემდეგ. | ვიზუალიზაცია აჩვენებს სისხლჩაქცევას დადგენილი ინფარქტის ტერიტორიაზე. ხშირად მოსდევს დიდ ემბოლიურ ინსულტებს ან სარეპერფუზიო თერაპიას. |
| ცერებრული ვენური თრომბოზი (CVT) | შეუძლია გამოიწვიოს ვენური ინფარქტები, რომლებიც ხშირად ჰემორაგიულია. თავის ტკივილი, გულყრები ხშირია. | MRV/CTV ადასტურებს სინუსის/ვენის თრომბოზს. მრტ აჩვენებს ვენურ ინფარქტს +/- სისხლჩაქცევას. |
| ვასკულიტი | იშვიათი მიზეზი. შეიძლება გამოიწვიოს სისხლჩაქცევა ან ინფარქტი. ხშირად სისტემური სიმპტომები. | ანთებითი მარკერები (ედს/CRP) შეიძლება იყოს მაღალი. ანგიოგრაფიამ შეიძლება აჩვენოს სისხლძარღვების უსწორმასწორობები. შესაძლოა საჭირო გახდეს ბიოფსია. |
ლიტერატურა
- Ropper AH, Samuels MA, Klein JP, Prasad S. Adams and Victor's Principles of Neurology. 11th ed. McGraw Hill; 2019. თავი 34: ცერებროვასკულური დაავადებები (განყოფილება ინტრაცერებრული სისხლჩაქცევის შესახებ).
- Greenberg MS. Handbook of Neurosurgery. 9th ed. Thieme; 2019. თავი 29: თავის ტრავმა.
- Osborn AG, Hedlund GL, Salzman KL. Osborn's Brain: Imaging, Pathology, and Anatomy. 2nd ed. Elsevier; 2017. განყოფილება ტრავმის შესახებ.
- Hoffman R, Benz EJ Jr, Silberstein LE, et al. Hematology: Basic Principles and Practice. 7th ed. Elsevier; 2018. განყოფილება ჰემოსტაზისა და თრომბოზის შესახებ (ან სპეციფიკური თავები სისხლდენის დარღვევების შესახებ).
- Hemphill JC 3rd, Greenberg SM, Anderson CS, et al; American Heart Association Stroke Council; Council on Cardiovascular and Stroke Nursing; Council on Clinical Cardiology. Guidelines for the Management of Spontaneous Intracerebral Hemorrhage: A Guideline for Healthcare Professionals From the American Heart Association/American Stroke Association. Stroke. 2015 Jul;46(7):2032-60.
- Greenberg MS. Handbook of Neurosurgery. 9th ed. Thieme; 2019. თავი 20: თავის ტვინის სიმსივნეები (განყოფილებები სიმსივნის სპეციფიკური ტიპებისა და გართულებების შესახებ, როგორიცაა სისხლჩაქცევა).
- Osborn AG, Hedlund GL, Salzman KL. Osborn's Brain: Imaging, Pathology, and Anatomy. 2nd ed. Elsevier; 2017. განყოფილება სისხლძარღვოვანი მალფორმაციებისა და ინტრაკრანიალური სისხლჩაქცევის შესახებ.
- Greenberg MS. Handbook of Neurosurgery. 9th ed. Thieme; 2019. თავი 31: ზურგის ტვინის დაზიანება & თავი 40: სპინალური სისხლძარღვოვანი მალფორმაციები.
- Grotta JC, Albers GW, Broderick JP, et al. Stroke: Pathophysiology, Diagnosis, and Management. 7th ed. Elsevier; 2021. თავი ინტრაცერებრული სისხლჩაქცევის შესახებ.
იხილეთ აგრეთვე
- სიგმოიდური სინუსის ჩირქოვანი თრომბოფლებიტი თრომბოზით
- სპონტანური ინტრაკრანიალური (სუბარაქნოიდული) და ინტრაცერებრული სისხლჩაქცევა:
- გიგანტური ინტრაკრანიალური ანევრიზმები
- თავის ტვინის არტერიოვენოზური მალფორმაციები
- ინტრაცერებრული სისხლჩაქცევის სხვა მიზეზები
- კომუნიკაციური ჰიდროცეფალია ინტრაცერებრული სისხლჩაქცევის შემდეგ გამსკდარი ანევრიზმით
- ლობარული ინტრაცერებრული სისხლჩაქცევა
- მიკოზური ინტრაკრანიალური ანევრიზმები
- საკულარული ანევრიზმა და სუბარაქნოიდული სისხლჩაქცევა
- ცერებრალური არტერიების ანთებითი დაავადებები (ცერებრალური არტერიიტი)
- ცერებრალური არტერიის ანევრიზმის განმეორებითი გასკდომა
- ცერებრალური ვაზოსპაზმი
- ჰიპერტენზიული ინტრაცერებრული სისხლჩაქცევა
- თავის ტვინის იშემიური დაავადება:
- ათეროსკლეროზული თრომბოზი
- ვერტებრობაზილარული და ტვინის უკანა არტერიების ათეროთრომბოზული ოკლუზია
- ძირითადი არტერიის ათეროთრომბოზული ოკლუზია
- იშემიური ინსულტის (ცერებრალური ინფარქტის) სხვა მიზეზები
- კაროტიდული ბიფურკაციის უსიმპტომო სტენოზი შუილით
- მცირე სისხლძარღვების ინსულტი (ლაკუნური ინფარქტი)
- ტვინის უკანა არტერიის ათეროთრომბოზული ოკლუზია
- ცერებრალური ემბოლია
- შიდა საძილე არტერიის ათეროთრომბოზული ოკლუზია
- ხერხემლისა და უკანა ქვედა ნათხემის არტერიების (PICA) ათეროთრომბოზული ოკლუზია
- იშემიური ინსულტი, ტრანზიტული იშემიური შეტევა (TIA), თავის ტვინის იშემია
- ვერტებრობაზილარული უკმარისობა (VBI) თავბრუსხვევის სიმპტომით
- ცერებროვასკულური დაავადებები - იშემიური ინსულტი, ტრანზიტული იშემიური შეტევა (TIA):
