Мешковидная аневризма мозговой артерии и субарахноидальное кровоизлияние
- Мешковидная аневризма мозговой артерии и субарахноидальное кровоизлияние
- Возникновение, локализация и симптомы аневризмы артерий мозга
- Клинические симптомы, течение и тактика ведения больных с аневризмой артерий мозга
- Начальные клинические проявления разрыва аневризмы, острое обширное субарахноидальное кровоизлияние
- Диагностика больных с разрывом аневризмы артерии головного мозга
- Ведение больного при разрыве аневризмы мозговой артерии
- Неврологические симптомы и синдромы после разрыва аневризмы мозговой артерии
- Клинические проявления осложнений при субарахноидальном кровоизлиянии
- Нейрохирургическое лечение при аневризмах мозговой артерии
Мешковидная аневризма мозговой артерии и субарахноидальное кровоизлияние
Виды аневризм артерий головного мозга:
- мешковидная аневризма (может быть гигантской)
- веретенообразная аневризма (может быть гигантской)
- расслаивающаяся аневризма
- микотическая аневризма
Классификация аневризм артерий головного мозга по размерам:
- ≤6 mm — маленькая
- 7 to 12 mm — средняя
- 13 to 24 mm — большая
- ≥25 mm — гигантская
Самой частой причиной субарахноидального кровоизлияния у пациентов служит разрыв внутримозговой аневризмы сосудов головного мозга. По сравнению с ним разрыв микотической или миксоматозной аневризмы артерии головного мозга встречается редко. Несколько реже, чем разрыв внутричерепной аневризмы, причиной субарахноидального кровоизлияния является разрыв артериовенозной мальформации (АВМ, ангиома, гемангиома).
Хотя, по данным аутопсий, аневризмы имеются у 5% населения, частота разрывов мешковидных аневризм составляет около 4 на 100 тысяч человек в год.
Разрыв внутримозговой мешковидной аневризмы — это очень тяжёлое состояние. Около 25% больных погибают уже в первый день и примерно 50% в течение первых 3 месяцев после кровоизлияния из внутримозговой аневризмы. Среди тех, кто выживает, более чем у 50% пациентов остаётся грубый неврологический дефект в результате первоначального кровоизлияния или последующих осложнений. К осложнениям, возникающим у пациента после разрыва аневризмы, относят повторный её разрыв, симптоматический спазм артерий мозга (церебральный вазоспазм) или гидроцефалия. Более 50% из этих больных, выписавшись домой после нейрохирургического лечения по поводу разрыва внутримозговой аневризмы, становятся инвалидами. Поэтому основные усилия должны быть направлены на проведение профилактических мероприятий, т.е. на предупреждение первичного разрыва аневризмы у пациента, а если он произошёл, — предотвращение возможных неврологических осложнений.
Возникновение, локализация и симптомы аневризмы артерий мозга
Мешковидные аневризмы локализуются в разветвлениях крупных артерий головного мозга. Эти артерии проходят на основания мозга, поэтому при их разрывах кровь поступает в субарахноидальное пространство цистерн, лежащих в его основании (базальные цистерны).
В отличие от мешковидных аневризм микотические располагаются в вышележащих участках ветвей средней, передней и задней мозговых, позвоночных или основной артерий. В результате чего после разрыва микотической аневризмы кровь из них изливается в субарахноидальное пространство под поверхностью коры головного мозга, а не в пространства у основания мозга (базальные цистерны).
Данные различия и определяют особенности клинических проявлений мешковидных и микотических аневризм артерий мозга. Типичными вариантами локализации мешковидных аневризм являются места:
- слияния передней соединительной артерии с передней мозговой артерией
- слияния задней соединительной артерии с внутренней сонной артерией
- раздвоение (бифуркация) средней мозговой артерии
- верхняя часть основной артерии
- соединения основной артерии с верхней мозжечковой или передней нижней мозжечковой артерией
- соединения позвоночной артерии с задней нижней мозжечковой артерией
Примерно в 85% случаев локализация аневризм приходится на передний бассейн циркуляции артериальной крови головного мозга. У 12-31% пациентов имеются множественные аневризмы, у 9-19% встречается двусторонняя идентичная ("зеркальная") локализация аневризм.
По мере своего формирования у аневризмы формируются шейка и свод. Длина шейки и размеры свода аневризмы сильно варьируют. При этом они имеют важное значение при планировании нейрохирургической операции по их выключению из кровотока. Внутренний эластический слой стенки артерии мозга при её аневризме исчезает у основания шейки. Средний слой стенки сосуда истончается, её гладкие мышечные клетки замещаются клетками соединительной ткани. В месте разрыва аневризмы (чаще в области свода), стенка истончается менее чем до 0,3 мм, и длина разрыва часто не превышает 0,5 мм.
Определить практически, какая аневризма у пациента склонна к разрыву, невозможно. Имеются лишь ограниченные указания на то, что важным параметром в этом отношении является размер самой аневризмы. При аневризмах крупнее 7 мм оправдано проведение профилактической нейрохирургической операции по их выключению из кровотока.
Клинические симптомы, течение и тактика ведения больных с аневризмой артерий мозга
Неврологические симптомы у пациента могут свидетельствовать о локализации неразорвавшейся аневризмы, а иногда и указывать на прогрессирующее её увеличение в размерах. Возникновение паралича мышц, иннервируемых глазодвигательным III черепным нервом, особенно сочетающееся с расширением зрачка (мидриаз), выпадением его реакции на свет и локальной болью под глазным яблоком и позади него, указывает на расширение аневризмы. Она может располагаться в месте соединения задней соединительной и внутренней сонной артерий. Для того чтобы развился паралич мышц, иннервируемых глазодвигательным III нервом, длина аневризмы от места её выхода в задней соединительной артерии должна быть 7 мм и более и увеличиваться. В подобной клинической ситуации у больного показано незамедлительное решение вопроса о хирургическом вмешательстве.
Паралич прямой наружной мышцы глаза (отводит глазное яблоко наружу) иннервируемой отводящем VI нервом может быть признаком аневризмы кавернозного синуса. Дефекты полей зрения у больных нередко отмечают при увеличивающейся супраклиновидной аневризме сонной артерии. Боли в затылочной и ниже в шее у пациента могут сигнализировать об аневризме задней/нижней мозжечковой артерии (ЗН МА) или передней/нижней мозжечковой артерии (ПН МА). Боли внутри глазного яблока или позади него и внизу виска обычно отмечают при расширяющейся аневризме средней мозговой артерии.
Вопрос о том, может ли аневризма вызывать небольшие, перемежающегося характера истечения крови в субарахноидальное пространство ("подкравливать"), остаётся невыясненным. Однако значимость документирования клинических связей самых небольших разрывов аневризм и кровотечения не вызывает сомнения.
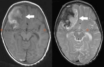
Внезапная необъяснимая головная боль любой локализации должна вызывать подозрение на субарахноидальное кровоизлияние у пациента. При этом необходимо проведение магниторезонансной (МРТ) или компьютерной (КТ) томографии головного мозга с целью обнаружения крови в базальных цистернах. Часто незначительные субарахноидальные кровоизлияния не выявляются на компьютерной томографии (КТ) головного мозга, поэтому для установления присутствия крови в субарахноидальном пространстве таким пациентам показана люмбальная пункция.
Начальные клинические проявления разрыва аневризмы, острое обширное субарахноидальное кровоизлияние
За короткий момент разрыва аневризмы, когда остро развивается обширное субарахноидальное кровоизлияние, внутричерепное давление достигает величины среднего артериального давления, со снижением мозгового кровоснабжения (ЦПД, церебральное перфузионное давление).
В 45% случаев после этого больные внезапно теряют сознания, которое затем восстанавливается. Иногда внезапной потере сознания у пациента предшествует короткий момент мучительной головной боли, но большинство больных, приходя в сознание, прежде всего жалуются на головную боль.
В 10% случаев кровотечение из разорвавшейся аневризмы может быть достаточно массивным и вызывать потерю сознания у пациента на несколько дней.
Примерно 45% больных после разрыва аневризмы жалуются на интенсивную головную боль, обычно усиливающуюся при напряжении, но потери сознания при этом у них не происходит. Больные часто характеризуют эту головную боль как «самую ужасную за всю свою жизнь». Нередко используют такие обозначения, как «разрывающая» и «разламывающая» головная боль. Обычно пациенты указывают, что у них болит «вся голова» или «задние отделы головы и шеи».
Каким бы ни было начало заболевания, одним из его симптомов разрыва аневризмы служит рвота. При сочетании рвоты и внезапной головной боли у пациента всегда должно возникать подозрение на острое субарахноидальное кровоизлияние.
Хотя характерным признаком разрыва аневризмы служит внезапная головная боль при отсутствии очаговых неврологических симптомов, нередко у пациентов возникает также и неврологический дефицит.
Паралич мышц, иннервируемых глазодвигательным III нервом, возникающий у пациента на стороне кровоизлияния заставляет думать о разрыве аневризме задней соединительной артерии.
Часто отмечающийся паралич прямой наружной мышцы глаза (иннервируется отводящем VI нервом), не имеет большого значения для локализации поражения, но часто наблюдается при разрыве субтенториальной аневризмы.
При разрыве аневризмы передней соединительной артерии или места раздвоение (бифуркации) средней мозговой артерии кровь изливается в субдуральное пространство или в базальные цистерны субарахноидального пространства, а образующийся при этом сгусток крови может быть достаточно большим и вызвать локальный масс-эффект. В результате развивается неврологический дефицит, включающий слабость мышц половины тела (гемипарез), расстройство речи (афазия) при поражении доминантного полушария, нарушение узнавания (анозогнозия по гемитипу), а при поражении недоминантного полушария — потерю памяти и абулию.
При разрыве аневризмы, локализующейся в месте раздвоения (бифуркации) средней мозговой артерии, кровь может попасть в сильвиеву цистерну, в височную долю или по направлению вверх в лобную и теменную доли. Такие кровоизлияния могут характеризоваться у пациента проявлениями объёмного процесса и ошибочно приниматься врачом за внутримозговые кровоизлияния. Часто сопутствующий им отёк мозга приводит к утяжелению состояния больного, что требует в ряде случаев неотложного нейрохирургического вмешательства.
Иногда у больных сразу после разрыва аневризмы развивается острый односторонний отёк полушария головного мозга, сочетающийся с очаговыми неврологическими симптомами и ступором. Причины этого отёка мозга при этом не установлены. Не исключено, что происходит транзиторное прекращение церебральной циркуляции в данном артериальном бассейне, возможно, вторичного характера по отношению к сосудистому спазму в области ствола артерии. Часто бывает трудно объяснить причину возникновения первоначального неврологического дефицита у пациента, и в большинстве случаев симптомы со временем регрессируют. Для определения тактики ведения больных и времени возникновения и развития остаточной неврологической симптоматики большое значение имеет тщательное документирование исходного неврологического дефицита. Это необходимо для выяснения его причины, а также внимательного прослеживания его динамики.
Шкала оценки степени тяжести субарахноидального кровоизлияния:
Степень |
Шкала Хант-Хесса |
Шкала комы Глазго (ШКГ) |
| 1 | Головная боль средней тяжести, ясное сознание, черепные нервы и двигательные функции не нарушены | 15 баллов по ШКГ, без двигательного дефицита |
| 2 | Сильная головная боль, ясное сознание, возможны расстройства функций черепных нервов | 13–14 баллов по ШКГ, без двигательного дефицита |
| 3 | Сонливость, спутанность сознания, возможны расстройства функций черепных нервов или лёгкий двигательный дефицит | 13–14 баллов по ШКГ, наличие двигательного дефицита |
| 4 | Ступор (заторможенность), средне выраженный или тяжёлый двигательный дефицит, возможны перемежающиеся рефлекторные гипертонусы мышц | 7–12 баллов по ШКГ, с наличием или без двигательного дефицита |
| 5 | Кома, рефлекторный гипертонус или вялость мышц | 3–6 баллов по ШКГ, с наличием или без двигательного дефицита |
При субарахноидальном кровоизлиянии начальные клинические проявления разрыва аневризмы могут быть оценены с учётом шкалы Хант-Хесса или по шкале комы Глазго (ШКГ) Всемирного Объединения Сообществ Нейрохирургов. При разрыве аневризмы прогноз для пациента ухудшается по мере увеличения степени по данной шкале. Например, для больных набравшим 1 по шкале Хант-Хесса смертельный исход не типичен, если было произведено своевременное лечение разорвавшейся аневризмы. В тоже время смертность пациентов с 4 или 5 степенью по шкале Хант-Хесса может быть выше 80%.
Диагностика больных с разрывом аневризмы артерии головного мозга
Если исследование пациента проведено в первые 48 ч после разрыва аневризмы, то при проведении магниторезонансной (МРТ) или компьютерной томографии (КТ) головного мозга без контрастирования более чем у 75% больных обнаруживают изменения, свидетельствующие о наличии сгустков крови в субарахноидальном пространстве. Количество и место нахождения крови в субарахноидальном пространстве могут помочь в определении локализации прорвавшейся аневризмы и выяснить причины первоначального неврологического дефицита. Кроме того, МРТ и КТ могут оказать помощь в прогнозе того, у кого из больных возможно развитие отсроченного неврологического дефицита, обусловленного спазмом артерий головного мозга (церебральный вазоспазм).
На первом этапе диагностики больному с подозрением на разрыв внутримозговой аневризмы проводят МРТ или КТ головного мозга без введения контрастного вещества. Контрастирование при КТ ангиографии или МРТ ангиография без внутривенного введения контраста сосудов головного мозга способны выявить изменения сосудистого русла у пациента, обнаружить аневризму или показать не предполагавшуюся у пациента артериовенозную мальформации (АВМ, ангиома, гемангиома). Если при проведении МРТ или КТ головного мозга не удаётся ни поставить диагноз субарахноидального кровоизлияния, ни выявить объёмный процесс или обструктивную гидроцефалию, следует произвести люмбальную пункцию с целью установить наличие крови в субарахноидальном пространстве.
Если у больного диагноз субарахноидального кровоизлияния, обусловленного разрывом мешковидной аневризмы, установлен, то проведение ангиографии откладывается до момента хирургического вмешательства. Церебральную ангиографию обычно проводят непосредственно перед операцией для уточнения локализации и характеристики анатомии аневризмы, а также для подтверждения наличия или отсутствия очагового спазма артерий мозга (церебральный вазоспазм). Если присутствие крови в веществе мозга или субарахноидальном пространстве над большим полушарием головного мозга, а не в базальных цистернах заставляет предполагать артериовенозную мальформацию (АВМ, ангиому, гемангиому) или микотическую аневризму, то ангиографическое исследование должно быть осуществлено немедленно. Другим показанием к выполнению неотложной ангиографии у пациента является внутримозговая гематома, появившаяся в результате разрыва аневризмы, которая при развитии отёка мозга может послужить поводом для экстренного нейрохирургического её удаления в связи с опасностью вклинения височных долей в намёт мозжечка, смещение ствола мозга и т.д.. Обязательным условием в ходе подготовки к операции является определение точной локализации и анатомии разорвавшейся аневризмы сосуда мозга.
При внутричерепном кровоизлиянии на ЭКГ часто обнаруживают изменения, которые часто носят вторичный характер. Изменяется интервал — Т,как при ишемической болезни сердца. Удлиняется комплекс QRS, увеличивается интервал Q-Т,выступают или перевёрнуты Т-волны, что дают основание предполагать первичное поражение сердца.
Снижение уровня натрия в крови (гипонатриемия) может развиться вторично на фоне неадекватной секреции антидиуретического гормона (АДГ) при увеличении объёма или в связи с неустановленными факторами, вызывающими потерю солей и воды с последующим уменьшением объёма. Поэтому больным с внутримозговым кровоизлиянием показано определение электролитов в сыворотке крови.
Ведение больного при разрыве аневризмы мозговой артерии
После субарахноидального кровоизлияния у больного, находящегося в ступоре или коме, внутричерепное давление может быть повышенным. Поэтому необходимо поддержать достаточное давление церебральной перфузии (ЦПД) и при этом следить за тем, чтобы не было чрезмерного повышения среднего артериального давления. Для оценки альвеолярной вентиляции в лёгких следует вести мониторинг содержание газов в артериальной крови. При гиперкапнии пациенту необходимо проведение искусственной вентиляции лёгких (ИВЛ). Если субдуральная или внутримозговая гематома вызывает нарастание неврологических расстройств, целесообразно её хирургическое удаление. Во время выполнения операции нейрохирургом может быть так же выполнено выключение из кровотока найденной аневризмы сосудистой клипсой у её основания.
Чтобы избежать повторного кровоизлияния, всем пациентам рекомендуют постельный режим и помещают в тихую, желательно затемнённую палату. Для профилактики запора в результате малоподвижного состояния, который вынуждает затем пациента с аневризмой тужиться, назначают слабительные средства. В то же время чрезмерное ограничение в активности может привести к тревожному возбуждению, поэтому больному разрешают читать, слушать радио, встречаться с родственниками. При сильной головной боли и болях в области шеи назначают лёгкие седативные препараты и анальгетики. Приём ацетилсалициловой кислоты (аспирина), обладающей антиагрегационным эффектом, не рекомендуется, но можно использовать парацетамол (ацетаминофен) или меперидин и фенобарбитал или другие седативные средства. Избыточное назначение седативных препаратов больному с аневризмой артерии мозга нежелательно, поскольку оно затрудняет оценку у него исходной и возможной неврологической симптоматики.
Эпилептические припадки в момент разрыва аневризмы отмечаются редко. Мелкая дрожь, подёргивание и разгибательная поза у пациента часто сопутствующие потере сознания, вероятно, обусловлены резким повышением внутричерепного давления. Поскольку генерализованные судорожные припадки повышают риск повторного разрыва аневризмы, в качестве профилактической терапии иногда назначают фенитоин (300 мг в день) или фенобарбитал (30 мг 3 раза в день).
Стероидные препараты способствуют уменьшению боли в голове и шее, обусловленной раздражающим действием находящейся в субарахноидальном пространстве крови. Данные об их эффективности при отёке мозга, иногда отмечающемся у больных немедленно после субарахноидального кровоизлияния, отсутствуют.
Неврологические симптомы и синдромы после разрыва аневризмы мозговой артерии
Существует три основных причины отдалённого неврологического дефицита при разрыве аневризмы артерии мозга. Они наблюдаются после стабилизации пациента или уменьшения выраженности первоначальных неврологических симптомов, как объективных, так и субъективных. Эти причину включают в себя:
- повторный разрыв аневризмы
- сообщающуюся гидроцефалию
- спазм артерий головного мозга (церебральный вазоспазм)
Чтобы распознать возникновение и определить тяжесть каждого из этих вариантов осложнения после разрыва аневризмы, необходимо знать причины и степень выраженности исходных неврологических расстройств. Важным в диагностике этих трёх осложнений имеют раннее проведение магниторезонансной (МРТ) или компьютерной томографии (КТ) головного мозга с сопутствующей ангиографией (через 24-48 ч после кровоизлияния). Это помогает определить размеры желудочков головного мозга, количество и локализацию крови в субарахноидальном пространстве при разрыве аневризмы.
Клинические проявления осложнений при субарахноидальном кровоизлиянии
После перенесённого субарахноидального кровоизлияния при разрыве аневризмы артерии мозга у пациента возможны осложнения. К таким осложнениям относя:
- тромбофлебит с эмболией лёгочной артерии
- индуцированная стрессом прободная язва двенадцатиперстной кишки
- изменения на ЭКГ, свидетельствующие об инфаркте или ишемии миокарда
Субарахноидальное кровоизлияние в полости черепа запускает усиление активности симпатической нервной системы. Это вызывает миофибриллярную дегенерацию сердечной мышцы (миокарда). При разрыве аневризмы с субарахноидальным кровоизлиянием возможно развитие аритмии сердца. Таким больным рекомендовано назначение бета-адреноблокаторов. Их применение у пациентов должно быть связано с осторожно, особенно при наличии атриовентрикулярной блокады. Возможным осложнением у больного является и снижение уровня натрия в плазме крови (гипонатриемия). Гипонатриемия возникает при несоответствующей секреции антидиуретического гормона (АДГ) или при секреции натрийуретического гормона. Лечение таких пациентов сводится к ограничении свободной жидкости при поддержании достаточного внутрисосудистого объёма.
Нейрохирургическое лечение при аневризмах мозговой артерии
Микрохирургическое выключение разорвавшейся аневризмы с помощью её клиппирования выполняется врачом нейрохирургом. Для увеличения изображения в операционном поле используется операционный микроскоп. Благодаря этому вмешательству предупреждаются возможные осложнения у пациента после повторного разрыва аневризмы.
Большинство нейрохирургов откладывают оперативное вмешательство при разорвавшейся аневризме артерии мозга на 10-14 дней с целью стабилизации клинического состояния пациента. При отсроченных операциях есть время для снятия возникшего отёка головного мозга после первого разрыва аневризмы. Сводится к минимуму риск возникновения у пациента симптоматического вазоспазма в послеоперационном периоде.
Оперативное лечение не целесообразно откладывать, если у больного отсутсвует неврологическая симптоматика. Нейрохирургическое вмешательство в течение первых 48 ч снимает проблему повторного кровоизлияния из аневризмы. Это так же даёт возможность удалить из ликворных пространств основании мозга (базальных цистерн) сгустки крови, предупредив развитие спазма артерий (вазоспазма) данной локализации.
Технически выполнение удаление локальных гематом и выключение разорвавшихся аневризмы клипсами не сложно, но некоторые кровяные сгустки слишком велики по объёму, чтобы их можно было удалить полностью и без последствий для пациента. Поэтому время нейрохирургической операции в случае разрыва аневризмы артерии мозга выбирают индивидуально для каждого больного. Если на магниторезонансной (МРТ) или компьютерной томографии (КТ) головного мозга у пациента в субарахноидальном пространстве не обнаруживают больших сгустков крови или если потенциально опасный сгусток можно мягко и эффективно извлечь, то возможно раннее нейрохирургическое вмешательство.
Дополнительно
- Анатомия нервной системы
- Головокружение, шум в ушах
- Соматоформное расстройство (вегетативная дисфункция, ВСД)
- Вертебробазилярная недостаточность (ВБН) острая и хроническая
- Ишемическая инсульт и ишемия головного мозга
- Ишемическая болезнь мозга:
- Атеросклеротический тромбоз
- Атеротромботическое поражение внутренней сонной артерии и её ветвей
- Бессимптомный стеноз каротидной бифуркации, сопровождающийся шумом
- Атеротромботическое поражение вертебрально-базилярной системы и бассейна задней мозговой артерии
- Задняя мозговая артерия при атеросклерозе с тромбозом
- Позвоночная и задняя нижняя мозжечковая артерии при атеросклерозе с тромбозом
- Основная артерия при атеросклерозе с тромбозом
- Лакунарная болезнь
- Другие причины инфаркта мозга
- Церебральные эмболии
- Внутричерепные (субарахноидальные) и внутримозговые кровоизлияния:
- Артериовенозные мальформации
- Внутримозговое кровоизлияние при гипертонической болезни
- Воспалительные болезни артерий мозга (артерииты)
- Гигантские аневризмы артерий головного мозга
- Другие причины кровоизлияния в мозг
- Лобарное внутримозговое кровоизлияние
- Мешковидная аневризма мозговой артерии и субарахноидальное кровоизлияние
- Микотические аневризмы
- Повторный разрыв аневризмы мозговой артерии
- Сообщающаяся (открытая) гидроцефалия после разрыва аневризмы
- Спазм артерий головного мозга (церебральный вазоспазм)
- Сосудистые заболевания головного мозга — инсульт, микроинсульт:
- Транзиторная ишемическая атака (ТИА), микроинсульт
- Тромбофлебит и тромбоз сигмовидного синуса










