Bad Breath Symptoms
Bad breath, medically known as halitosis, is a common problem. Bad breath is usually simple and preventable. Dietary factors as well as tobacco and alcohol use may all be factors in causing bad breath. Poor oral hygiene, gum disease, tooth decay, or mouth infections can also be causes of halitosis. Infections in the lungs, sinuses, or airways can also cause bad breath due to the presence of nasal secretions that may drain into the mouth. Chronic postnasal drip, for example as occurs with sinus infections, can be a cause of bad breath. Coughing up sputum from lung infections can also cause bad breath. Dry mouth (xerostomia) can be a side effect of certain medications, increasing the tendency to develop bad breath. Certain chronic diseases that severely restrict liver or kidney function may also alter the odor of the breath. Other chronic conditions that can be associated with bad breath include diabetes and acid reflux disease.
Other causes of bad breath
Causes of Bad Breath
-
H. pylori (Helicobacter Pylori) Infection
Helicobacter pylori (H. pylori) is a bacteria that causes chronic inflammation (gastritis) of the inner lining of the stomach, and also is the most common cause of ulcers worldwide. About 50% of people in the world carries or is infected with H. pylori. Common symptoms of H. pylori infection are occasional abdominal discomfort, bloating, belching or burping, and nausea and vomiting. H. pylori infection is difficult to eradicate, and treatment is with two or more antibiotics.
-
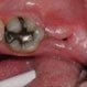
Abscessed Tooth
An abscessed tooth is an infection within a tooth that has spread to the root. Symptoms of an abscessed tooth may include pain, swelling, tenderness, redness, and the presence of a pus-filled lesion on the gum. A dental professional diagnoses an abscessed tooth and dental X-rays may be required. An abscessed tooth is treated with a root canal.
-
Acute Bronchitis
Bronchitis is inflammation of the airways in the lung. Acute bronchitis is short in duration (10-20 days) in comparison with chronic bronchitis, which lasts for months to years. Causes of acute bronchitis include viruses and bacteria, which means it can be contagious. Acute bronchitis caused by environmental factors such as pollution or cigarette smoke is not contagious. Common symptoms for acute bronchitis include nasal congestion, cough, headache, sore throat, muscle aches, and fatigue. Acute bronchitis in children also my include runny nose, fever, and chest pain. Treatment for acute bronchitis are OTC pain relievers, cough suppressants (although not recommended in children), and rest. Infrequently antibiotics may be prescribed to treat acute bronchitis.
-
Alcoholism and Alcohol Abuse
Alcoholism is a disease that includes alcohol craving and continued drinking despite repeated alcohol-related problems, such as losing a job or getting into trouble with the law. It can cause myriad health problems, including cirrhosis of the liver, birth defects, heart disease, stroke, psychological problems, and dementia. Counseling and a few medications can be effective for alcoholism treatment.
-
Chewing Tobacco (Smokeless Tobacco, Snuff)
People absorb more nicotine into their systems by chewing tobacco (snuff or smokeless tobacco) than by smoking a cigarette. Chewing tobacco or snuff can cause cancers, poor oral health (gum disease and tooth decay), infertility, pregnancy complications, and nicotine addiction. Nicotine addiction can be overcome with available prescription drugs and other treatment programs.
-
Diabetes (Type 1 and Type 2)
Diabetes is a chronic condition characterized by high levels of sugar (glucose) in the blood. The two types of diabetes are referred to as type 1 (insulin dependent) and type 2 (non-insulin dependent). Symptoms of diabetes include increased urine output, thirst, hunger, and fatigue. Treatment of diabetes depends on the type.
-
Dry Mouth (Xerostomia)
Dry mouth is a common side effect of many prescription and non-prescription drugs and certain medical conditions. Symptoms of dry mouth include a sticky, dry feeling in the mouth, frequent thirst, sores in the mouth; sores or split skin at the corners of the mouth, cracked lips, a dry feeling in the throat, a burning or tingling sensation in the mouth, and a dry, red, raw tongue.
-
Dry Socket
A dry socket is a potential complication that can occur when a blood clot in the gums becomes dislodged after a tooth extraction. Dry socket signs and symptoms include pain, mouth odor, and unpleasant taste in the mouth. A dentist may treat a dry socket with analgesic dressing. Over-the-counter pain medications can also relieve symptoms. A dry socket usually heals within 7 days. Avoiding smoking, drinking with a straw, and vigorous rinsing and spitting may help prevent the formation of dry socket.
-
GERD (Acid Reflux, Heartburn)
GERD (gastroesophageal reflux disease) is a condition in which the acidified liquid contents of the stomach backs up into the esophagus. The symptoms of uncomplicated GERD are: heartburn, regurgitation, and nausea. Effective treatment is available for most patients with GERD.
-
Gum Disease (Gingivitis)
Gum disease is caused by plaque and may result in tooth loss without proper treatment. Symptoms and signs of gum disease (gingivitis or periodontal disease) include receding gums, bad breath and pocket formation between the teeth and gums. Treatment depends upon the stage of the gum disease, how you responded to earlier treatments, and your overall health.
-
Gum Problems
Gum problems may be caused by improper brushing and flossing, gum disease, canker sores, treatments and hormonal changes. Symptoms of gum problems include red, swollen, sore and bleeding gums. These symptoms can be prevented by brushing twice a day, flossing daily, eating a well-balanced diet, drinking enough water, not smoking, and relaxing.
-
How Do You Get Rid of Tonsil Stones?
What are tonsil stones and how do you get rid of them? Learn more about tonsil stone problems and what you can do about tonsil stones.
-
Is Gingivitis Contagious?
Gingivitis is inflammation of the gums. Poor dental hygiene, stress, smoking, some medications, and a poor diet can cause gingivitis. Gingivitis-causing bacteria can be passed from one individual to another.
-
Kidney (Renal) Failure
Kidney failure can occur from an acute event or a chronic condition or disease. Prerenal kidney failure is caused by blood loss, dehydration, or medication. Some of the renal causes of kidney failure include sepsis, medications, rhabdomyolysis, multiple myeloma, and acute glomerulonephritis. Post renal causes of kidney failure include bladder obstruction, prostate problems, tumors, or kidney stones.Treatment options included diet, medications, or dialysis.
-
Oral Cancer
The term oral cancer includes cancer of the mouth (oral cavity) and the back of the mouth (oropharynx). Red and white patches inside the mouth, bleeding, loose teeth, pain upon swallowing, a lump in the neck, earache, and a sore on your lip or in your mouth that won't heal are all symptoms of oral cancer. Treatment for oral cancer depends upon the staging of the disease and usually involves surgery, radiation therapy, or chemotherapy.
-
Pericoronitis
Pericoronitis is inflammation of the gum tissue around the molars. Pericoronitis commonly occurs in teens or young people when the wisdom teeth erupt. Symptoms include pain, swelling, swollen lymph nodes, and difficulty opening the mouth. Pericoronitis can be diagnosed by a dentist and is treated with pain medication. Severe cases may be treated with surgery.
-
Pneumonia
Pneumonia is inflammation of the lungs caused by fungi, bacteria, or viruses. Symptoms and signs include cough, fever, shortness of breath, and chills. Antibiotics treat pneumonia, and the choice of the antibiotic depends upon the cause of the infection.
-
Sinus Infection (Sinusitis)
Sinus infection (sinusitis) is caused by allergies, infection, and chemicals or other irritants of sinuses. Signs and symptoms are headache, fever, and facial tenderness, pressure, or pain. Treatments of sinus infections are generally with antibiotics and at times, home remedies.
-
Smoking (How to Quit Smoking)
Smoking is an addiction. More than 430,000 deaths occur each year in the U.S. from smoking related illnesses. Secondhand smoke or "passive smoke" also harm family members, coworkers, and others around smokers. There are a number of techniques available to assist people who want to quit smoking.
-
Strep Throat
Strep throat is a bacterial infection of the throat. Signs and symptoms of strep throat include headache, nausea, vomiting, sore throat, and fever. Strep throat symptoms in infants and children are different than in adults. Strep throat is contagious and is generally passed from person-to-person. Treatment for strep throat symptoms include home remedies and OTC medication; however, the only cure for strep throat are antibiotics.
-
Thrush (Oral Candidiasis)
Thrush is an infection of the mouth caused by the Candida fungus. Symptoms of thrush include pain or difficulty swallowing, a feeling that food gets stuck in the throat, and fever.
-
Tonsillitis (Adenoiditis)
Tonsillitis is a contagious infection with symptoms of bad breath, snoring, congestion, headache, hoarseness, laryngitis, and coughing up blood. Tonsillitis can be caused acute infection of the tonsils, and several types of bacteria or viruses (for example, strep throat or mononucleosis). There are two types of tonsillitis, acute and chronic. Acute tonsillitis lasts from one to two weeks while chronic tonsillitis can last from months to years. Treatment of tonsillitis and adenoids include antibiotics, over-the-counter medications, and home remedies to relieve pain and inflammation, for example, salt water gargle, slippery elm throat lozenges, sipping warm beverages and eating frozen foods (ice cream, popsicles), serrapeptase, papain, and andrographism Some people with chronic tonsillitis may need surgery (tonsillectomy or adenoidectomy).
-
Upper Respiratory Infection (URTI)
An upper respiratory infection is a contagious infection of the structures of the upper respiratory tract, which includes the sinuses, nasal passages, pharynx, and larynx. Common causes of an upper respiratory infection include bacteria and viruses such as rhinoviruses, group A streptococci, influenza, respiratory syncytial, whooping cough, diphtheria, and Epstein-Barr. Examples of symptoms of upper respiratory infection include sneezing, sore throat, cough, fever, and nasal congestion. Treatment of upper respiratory infections are based upon the cause. Generally, viral infections are treated symptomatically with over-the-counter (OTC) medication and home remedies.
-
Why Do Hippies Smell Like Patchouli?
Patchouli oil has been in use for thousands of years, but it gained tremendous popularity because of its use by the hippies in the 1960s. Experts suggest that regular use of patchouli oil by hippies is because of the raw, earthy and natural nature of this oil. Hippies preferred using products that were not artificially manufactured and were cruelty free.
-
Why Do People Get Tonsil Stones?
What are tonsil stones and what causes them? Learn the signs of tonsil stones, what causes them, and what you can do to treat them.
- Bad Breath
- H. pylori(Helicobacter Pylori) Infection
- Abscessed Tooth
- Acute Bronchitis
- Alcoholism and Alcohol Abuse
- Chewing Tobacco (Smokeless Tobacco, Snuff)
- Diabetes (Type 1 and Type 2)
- Dry Mouth (Xerostomia)
- Dry Socket
- GERD (Acid Reflux, Heartburn)
- Gum Disease (Gingivitis)
- Gum Problems
- How Do You Get Rid of Tonsil Stones?
- Is Gingivitis Contagious?
- Kidney (Renal) Failure
- Oral Cancer
- Pericoronitis
- Pneumonia
- Sinus Infection (Sinusitis)
- Smoking (How to Quit Smoking)
- Strep Throat
- Thrush (Oral Candidiasis)
- Tonsillitis (Adenoiditis)
- Upper Respiratory Infection (URTI)
- Why Do Hippies Smell Like Patchouli?
- Why Do People Get Tonsil Stones?
