19 Habits That Cause Bad Teeth
Keeping Your Smile White, Bright, and Healthy
We all know the basics when it comes to keeping your teeth healthy: brush, floss, visit the dentist twice a year. But there are habits and lifestyle choices that could be harming your dental health that will surprise you.
In this article, you will learn some of the nasty habits to avoid to protect your teeth from decay and discoloration. Learn what causes teeth grinding, the best ways to keep your teeth white, and how to avoid cavities by changing daily habits.
Avoid Ice Chewing
Chewing ice is a seemingly harmless, often unconscious habit. But ice chewing can cause permanent damage to your teeth, putting small cracks in the enamel.
These cracks can grow larger over time and ultimately cause a tooth to fracture, requiring a visit to the dentist and unnecessary expense to get the cracks fixed. The American Dental Association advises you to skip the ice if this habit is too tough to resist. Try opting for chilled water instead, or order your drinks without ice to resist the harmful urge to chew those hard cubes.
Skipping Your Mouth Guard
Would you play football without a helmet? Box someone without gloves? Then why play a high-impact sport without a mouth guard? According to the American Dental Association, mouth guards prevent 200,000 sports-related mouth injuries every year. And every year, athletes lose an estimated 5 million teeth playing sports. Hitting the playing field without a mouth guard sets you up for a Swiss cheese smile.
Who Should Wear a Mouth Guard?
Your teeth are vulnerable to being knocked out or damaged from many high impact sports. Full-contact sports may be obvious choices, such as mixed martial arts, American football, water polo, hockey, and rugby. But ball sports can knock teeth loose too, including sports like basketball, soccer, and softball. You should also use a mouth guard for skateboarding and other extreme sports.
The Academy for Sports Dentistry recommends mouth guards for more than 40 different sports. Mouth guards cushion hard blows to the teeth and jaw. They also protect the soft tissues of your lips, tongue, cheeks, and gums from being sliced by your teeth. Some believe they may offer a little shock absorption to protect you from concussion as well.
Do Baby Bottles Cause Bad Teeth?
Tired parents might be tempted to do anything to get their restless babies to sleep. Although it is tempting, avoid sending your bouncing bundle of joy to bed with a bottle. That's because of a condition called baby bottle tooth decay.
What Is Baby Bottle Tooth Decay?
Babies who fall asleep with bottles of milk in their mouths face increased risk of early dental decay. Prolonged exposure to the sugar in milk works with mouth bacteria to break down tooth enamel and results in rampant decay. Don't send baby to bed with a bottle unless that bottle contains nothing but water.
Dental Danger: Tongue Piercings
Tongue piercings may seem like harmless body modifications, but they can take a hefty toll on your mouth. Discouraged by dentists, tongue piercings can cause lots of teeth problems, and mouth problems overall.
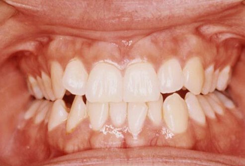
Tongue piercings may cause bad teeth in several ways. They may cause your teeth to chip or break, requiring dental work. Repeatedly clicking the jewelry against teeth can damage your teeth and fillings, and so can accidentally biting down too hard on the piercing. The piercing can interfere with dental x-rays. Also, in some cases, tongue piercings may be forced between your teeth repeatedly, causing teeth to gap.
Teeth Grinding
If you find yourself grinding your teeth, you're not alone. In the US, roughly 30 to 40 million people grind their teeth. Teeth grinding, also known as bruxism, can be an inherited trait, and it is often linked to stress and anxiety. While teeth grinding can happen at any time, many people grind their teeth in their sleep without knowing it.
Teeth grinding may pose an assortment of health problems to your mouth. These include:
- chipped tooth enamel,
- cracked teeth,
- loose teeth,
- flat, worn-down teeth,
- joint problems, and
- tooth loss.
Because teeth grinding often happens while sleeping, many people don't realize they're doing it. Some symptoms of teeth grinding include loose teeth, neck aches, earaches, and dull headaches, a jaw that's tired and sore, and a clicking sound when you open your mouth.
Teeth Grinding Protection
Talk to a dentist if you suspect you may be grinding your teeth. Your dentist can recommend one or more treatments. These may include a mouth guard, a bite adjustment (this corrects the way your top and bottom teeth fit together), reducing stress, and medications that relieve sore muscles.
Are Cough Drops Bad for Your Teeth?
A cough drop may ease a sore throat, but many of them can make dental problems worse. Cough drops have a lot of sugar. Sucking on them bathes your teeth in that sugar. That's especially true for soft and gummy drops that stick to your teeth more easily.
With a mouth full of sugar, bacteria can grow unchecked. As they do, your chances of tooth decay and gum disease rise.
For the occasional cough drop, sugar-free options are better choices. But even sugar-free drops should not be overused. At least one patient reported rampant cavities after habitually sucking on sugar-free cough drops. Researchers hypothesized that the acidic drops allowed acid-tolerant bacteria to thrive in the patient’s mouth.
Gummy Sweets
Most people know that sugar causes cavities. But some sugary foods are worse than others. Candy that sticks to the teeth can get stuck between the crevices of a tooth, and saliva can't wash it away. And it isn't just candy—natural snacks like raisins and other dried fruits carry the same dental risks. Avoid gummy candies (gummy bears, gummy worms, etc.), caramels, dried fruits, jelly beans, and other sticky sweets.
Most of these candies can be found in sugar-free varieties. Choose these instead for healthier teeth. If you still want eat these sticky sweets, then follow up 30 minutes later with a good tooth brushing and flossing.
Soda
High sugar plus high acidity makes a bad dental combo. Frequent soda drinking will bathe your teeth in sugar and can lead to dental decay. Additionally, increased acid exposure works to erode tooth enamel and can lead to tooth sensitivity.
If you still want to drink soda, here are some ways to reduce your use. Cut back on the soda you drink every day. Opt for water, the healthier thirst-quencher. Minimize enamel erosion by rinsing with water after your teeth have been exposed to acidic beverages. Try sipping acidic drinks through a straw to avoid contact with your teeth. Finally, wait at least 30 minutes before brushing with a soft toothbrush after acid exposure to avoid further enamel breakdown.
Tearing Packaging With Teeth
Teeth are meant for eating and smiling, and nothing else. Any other use can be unhealthy; your teeth are not knives, and they're not scissors either.
Although it may seem convenient in the short term, opening potato chip bags, clamping onto bobby pins, or prying off bottle caps with your teeth can cause dental chips and fractures. To save your teeth, use a knife or a pair of scissors instead.
Are Sports Drinks Bad for Your Teeth?
It may seem healthier than soda, but sports drinks bring many of the same problems. Both contain lots of sugar and acid, and the sugar encourages acid-producing bacteria to proliferate in your mouth, causing tooth decay. To avoid the risk of decay and dental enamel erosion, opt for refreshing, calorie-free, fat-free water instead.
Bad Dental Habit: Fruit Juice
Is fruit juice healthier than soda? Fruit juice can be healthy due to its vitamin and mineral content. But this benefit can be washed away by the high sugar content in most fruit juice.
We tend to underestimate the amount of sugar in naturally sweet fruit juice. For example, apple juice contains approximately as much sugar as the same volume of soda.
Here is the sugar content of some popular fruit juices, based on a 12-ounce serving:
- Grape juice: 58 grams
- Apple juice: 39 grams
- Orange juice: 33 grams
Try diluting fruit juice with water to help reduce sugar content and minimize sugar exposure to your teeth.
Potato Chips
Starchy snacks break down in your mouth and easily stick to your teeth, creating a perfect environment for bacterial plaque to form and wreak havoc. Starchy snacks include potato chips, crackers, and soft breads. Soon after snacking, plan on flossing and brushing to keep your plaque level down.
Constant Snacking
Constant snacking throughout the day means food debris and plaque sit on your teeth for a prolonged time. If you need to snack between meals, consider cleansing-type foods that minimize plaque buildup. A few good choices are apples, carrots, and celery.
Pencil Chewing
We often unconsciously chew on pencils or bite objects when we are concentrating. This puts a lot of pressure on teeth, which can chip or fracture over time. It can also be a trigger for teeth-grinding behavior.
If this is a nervous habit of yours, try a healthier substitute. Chewing sugarless gum can prevent tooth damage, and it also stimulates saliva production and helps to clean teeth in the process.
Is Coffee Bad for Your Teeth?
A morning cup of coffee helps many of us start the day. Unfortunately, caffeine can slow saliva production, potentially causing dry mouth which may lead to tooth decay. One small study found this effect to be significant, but modest, in healthy individuals.
Also, adding sugar to your brew increases the risk of tooth decay. To counteract the effect of a dry mouth from caffeine, drink water regularly throughout the day.
Smoking
Did you need another reason to quit smoking? Well, here's one: Tobacco use dries out your mouth and increases the amount of plaque buildup around your teeth. Smokers are more likely to lose teeth compared to nonsmokers due to gum disease.
Additionally, tobacco use is a big risk factor for oral cancer. To increase your chances of success in kicking this unhealthy habit, seek help from your doctor. Although it can be hard to quit, people who ask for help are more likely to succeed.
Drinking Red Wine
Think it's hard to get a red wine stain out of a white tablecloth? Imagine what it might do to your teeth.
Three things contribute to the staining of your teeth when you drink red wine:
- Chromogen, the deep color in red wine.
- Acid content in wine that etches teeth and makes them more prone to staining.
- Tannins in wine help the stain bind to teeth.
Here are some ways to counteract the staining that red wine creates:
- eat a protein such as cheese with red wine,
- rinse with water, or
- chew gum afterwards to stimulate saliva production and neutralize the mouth pH.
Fortunately, red wine stain is temporary on teeth. But the erosion caused by its acidity may not be. In one small study of Australian wine tasters, their teeth showed more erosion with more years spent wine tasting.
Drinking White Wine
White wine may seem to be the stainless version of red wine; however, white wine still contains the acid and tannins that help bind stains to teeth. In fact, one study found that white wines have more enamel-corroding acids than reds.
Staining actually comes from some of the foods or drinks you consume after your wine. Wine is acidic, and some acid-friendly bacteria are known to cause cavities. After drinking anything acidic, avoid brushing your teeth for at least 30 minutes to avoid damaging your teeth further.
Binge Eating
Binge eating usually involves consuming large amounts of sugary foods and drinks, which may lead to dental decay. Binge eating may also occur with another eating disorder such as bulimia, in which case the food is purged by vomiting. Because vomit is highly acidic, this can erode and damage teeth over time.
Help for Binge Eating Disorder
Medical care and intervention are important to address these eating disorders. Unfortunately, many who suffer from binge eating disorder do their best to hide their condition from close friends and family, making it hard to get help. But asking for help from a trusted medical professional is the first step to getting proper treatment.
Treatment for binge eating disorder should be discussed with a professional psychiatrist, psychologist or other mental health professional. Therapy for changing eating habits, as well as your thoughts and feelings that contribute to your binge eating, may include cognitive behavioral therapy, interpersonal therapy, or dialectical behavior therapy.
19 Habits That Cause Bad Teeth
IMAGES PROVIDED BY:
- Jerome Tisne/Photographer's Choice
- Howard Berman/Stone
- Imgorthand/Vetta
- Age/Photolibrary
- UHB Trust/Stone
- Jonathan Nourok/Stone
- Achim Sass
- Brian T. Evans/Flickr
- Steve Pomberg/WebMD
- Steve Pomberg/WebMD
- Steve Pomberg/WebMD
- S Peterman/Zoonar
- Photostock Israel/Photolibrary
- Fuse
- Adam Gault/OJO Images
- Martin Diebel
- Martin Diebel
- a.t.I images/Flickr
- Altrendo Images
REFERENCES:
- Academy for Sports Dentistry. "FAQ's."
- ADA Mouth Healthy: "Cold and Flu Season: 5 Ways to Care for Your Mouth When You're Sick," "Oral piercings," "3 things all athletes should do for their teeth," "Top 9 foods that damage your teeth."
- ASDC Journal of Dentistry for Children: "Snacking and oral health habits of Washington state WIC children and their caregivers."
- Bentham Open: "Acidogenic potential of 'sugar-free' cough drops."
- Flynn, Niamh, PhD. "Exploring bruxism." Ireland's Dental Magazine. Oct/Nov 2016.
- National Institutes of Health. "Definition and Facts for Binge Eating Disorder." Updated Jun 2016.
- Nutrition Research: "Prolonged in vitro exposure to white wines enhances the erosive damage on human permanent teeth compared with red wines."
- Oral Health Case Reports: "Effects of caffeine on salivation," "Smoking and oral health."
- Pennington, Carolyn. "Common Habits that Harm Your Teeth." University of Connecticut Health Center.
- Saldi, Sara. "Tongue Piercing May Cause Gapped Teeth, According to UB Study." University of Buffalo News Center. Aug 2, 2010.
- Scientific World Journal: "Dental erosion and dentinal sensitivity amongst professional wine tasters in South East Queensland, Australia."
- University of California, San Diego Health Library. "Understanding Bruxism (Teeth Grinding)."
- University of California San Francisco California Childcare Health Program. "Preventing Baby Bottle Tooth Decay or Early Childhood Carries."
- UIC College of Dentistry: "Thinking about another sweet gulp? Think again."
- University of Missouri-Kansas City Dental Faculty Practice. "Sporting Activities and Mouthguards."
- University of Rochester Medical Center: "The best and worst foods for your teeth," "Researchers say OJ worse for teeth than whitening."
© 1996-2022 WebMD, LLC. All rights reserved.
Source slideshow on OnHealth
