Pleural Effusion (Fluid in the Pleural Space)
What is pleural effusion?
A pleural effusion is a buildup of fluid in the pleural space, an area between the layers of tissue that line the lungs and the chest wall. It may also be referred to as effusion or pulmonary effusion. The type of fluid that forms a pleural effusion may be categorized as either transudate or exudate.
- Transudate is usually composed of ultrafiltrates of plasma due to an imbalance in vascular hydrostatic and oncotic forces in the chest (heart failure, cirrhosis).
- Exudate is typically produced by inflammatory conditions (lung infection, lung cancer). Exudative pleural effusions are usually more serious and difficult to treat.
What causes pleural effusion?
There are many causes of pleural effusions. The following is a list of some of the major causes:
- Congestive heart failure
- Kidney failure
- Infection
- Malignancy
- Pulmonary embolism
- Hypoalbuminemia
- Cirrhosis
- Lung cancer
- Trauma
The development of a pleural effusion occurs from fluid seeping into the pleural space, a thin area between the visceral and pleural membranes in the chest cavity, which normally contains a small amount of fluid to facilitate smooth lung movement. Fluid under pressure, malignant cells, and infectious agents can occasionally enter the pleural cavity and cause it to expand with abnormal amounts of fluid and other compounds (see diagnosis section).
What are the risk factors for pleural effusion?

Pleural effusions are caused by the underlying medical problems listed previously, therefore the presence of any of these medical problems are risk factors for the development of pleural effusions. It is important to note, however, that not all individuals with these medical problems will develop pleural effusions. Congestive heart failure is the most common cause of transudative pleural effusions, while infection (pneumonia) and malignancy are the most common causes of exudative pleural effusions.
What are the signs and symptoms of pleural effusion?
Common symptoms associated with pleural effusion may include the following:
- chest pain,
- difficulty breathing,
- painful breathing (pleurisy), and
- cough (either a dry cough or a productive cough).
Deep breathing typically increases the pain. Symptoms of fever, chills, and loss of appetite often accompany pleural effusions caused by infectious agents.
What procedures and tests diagnose pleural effusions?
The patient's history and physical exam may indicate a presumptive diagnose of pleural effusion. For example, a patient with a history of congestive heart failure or cirrhosis with symptoms of cough, difficulty breathing, and pleuritic chest pain may have a pleural effusion. Findings from the physical exam, such as dullness to percussion of the lung area (when tapping the area of the lung with a finger, the percussion or sound is dull -- if no fluid exists in the area the sound will be lighter), decreased vibration (decreased tactile fremitus), and asymmetrical chest expansion (the lungs do not inflate or deflate equally) may also be evidence of a pleural effusion. Other physical exam findings detected with a stethoscope may include reduced or inaudible breath sounds on the affected side, egophony (patient voices the letter "e," but when listening [auscultation] it sounds like "a"), and a friction rub (if there is fluid in the pleural area, the heart will rub against the inflamed or fluid-filled space).
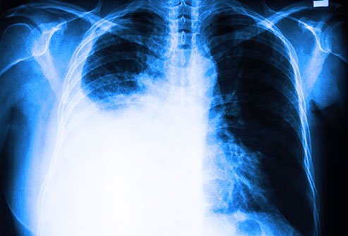
Chest X-ray can detect pleural effusions, as they usually appear as whitish areas at the lung base, and they may occur on only one side (unilateral) or on both sides (bilateral). If a person lies on their side for a few minutes, most pleural effusions will move and layer out along that side of the chest cavity which is positioned downward (because of the effects of gravity). This movement of the pleural effusion can be seen on a chest X-ray taken with the person lying on their side (a lateral decubitus X-ray).
Other imaging tests, such as CT scan, may be ordered to further identify the possible cause and the extent of the pleural effusion.
Diagnosing the cause(s) of a pleural effusion often begins with determining whether the fluid is transudate or exudate. This is important because the results of this fluid analysis may provide a diagnosis and determine the course of treatment. Thoracentesis (a procedure to remove the fluid from the pleural space) followed by laboratory analysis of the fluid can differentiate between transudate and exudate. The results from the fluid obtained from the thoracentesis are compared to certain blood tests (for example, LDH, glucose, protein, pH, cholesterol and others). Additional testing of the pleural fluid may also include a cell count, cytology, and cultures. Criteria are then used to differentiate exudate from transudate. Exudative effusions have the following characteristics:
- Pleural fluid LDH > 0.45 of the upper limits of normal blood values
- Pleural fluid protein level > 2.9g/dL
- Pleural fluid cholesterol level > 45mg/dL
Other health care professionals may use different criteria to determine the presence of exudate, such as the ratio of pleural fluid to serum protein levels > 0.5, LDH ratio > 0.6 and LDH ratio > 2/3 the upper limits of normal. Other pleural fluid analysis test results (cytology or amylase, for example) may also reveal the source of the effusion.
What is the treatment for pleural effusion?
Small transudative effusions may require no treatment, while larger ones and most exudative pleural effusions require treatment. The initial treatment of choice is drainage of the pleural fluid. This is done by thoracentesis (this procedure may be both diagnostic and therapeutic), where a chest tube is inserted into the effusion, and the effusion is drained out. This procedure needs monitoring, and in some instances, the tube may need to remain in the pleural space for a longer period of time for continued drainage. The need for repeated thoracentesis varies from patient to patient depending on the underlying cause, the amount of effusion fluid, the type of effusion (thick, thin, malignant, or infectious, for example) and if there is recurrence of the pleural effusion.
Some pleural effusions (mainly exudative) may require surgery to break up adhesions, while others may require pleurodesis (pleural sclerosis), a procedure whereby different irritant substances or medications are inserted into the pleural space in order to fibrose and scar the visceral and pleural surfaces together. This procedure seals the pleural space so that pleural effusions have difficulty reaccumulating.
The use of medications for pleural effusions depends on the underlying cause. Antibiotics are used when there is an infectious cause, whereby diuretics such as furosemide (Lasix) may be used to slowly help reduce the size of the pleural effusion.
What are the complications of pleural effusion?
The potential complications associated with pleural effusion are:
- lung scarring,
- pneumothorax (collapse of the lung) as a complication of thoracentesis,
- empyema (a collection of pus within the pleural space), and
- sepsis (blood infection) sometimes leading to death.
Can you prevent a pleural effusion?
- The development of pleural effusions may sometimes be prevented by the early treatment of the underlying causes listed above. However, in certain cases, the development of pleural effusions may not be preventable.
- Some pleural effusions may be prevented from reoccurring by having individuals undergo pleurodesis, a procedure that seals up the pleural space.

