Ovarian Cyst, Types, and Treatment
What Are Ovarian Cysts?
Ovarian cysts are fluid-filled sacs that grow inside or on top of one (or both) ovaries. A cyst is a general term used to describe a fluid-filled structure. Ovarian cysts are usually asymptomatic, but pain in the abdomen or pelvis is common.
What Are the Ovaries? What Do the Ovaries Do?
The ovaries are reproductive organs in women that are located in the pelvis. One ovary is on each side of the uterus, and each is about the side of a walnut. The ovaries produce eggs and the female hormones, estrogen and progesterone. The ovaries are the main source of female hormones that control sexual development including breasts, body shape, and body hair. The ovaries also regulate the menstrual cycle and pregnancy.
What Is Ovulation?
Ovulation is controlled by a series of hormone chain reactions originating from the brain's hypothalamus. Every month, as part of a woman's menstrual cycle, follicles rupture, releasing an egg from the ovary. A follicle is a small fluid sac that contains the female gametes (eggs) inside the ovary. This process of releasing and egg from the ovary an into the Fallopian tube is known as 'ovulation'.
What Causes Ovarian Cysts?
Sometimes a follicle does not release an egg during ovulation, and instead it continues to fill with fluid inside the ovary. This is called a 'follicular cyst'. In other cases, the follicle releases the egg but the sac seals up again and swells with fluid or blood instead of dissolving. This is known as a 'corpus luteum cyst'. Both of these conditions are types of functional ovarian cysts. Functional ovarian cysts are the most common type of ovarian cysts.
Ovarian Cyst Risk Factors
The following are potential risk factors for developing ovarian cysts:
- History of previous ovarian cysts
- Irregular menstrual cycles
- Infertility
- Polycystic ovarian syndrome
- Endometriosis
- Obesity
- Early menstruation (11 years or younger)
- Hyperthyroidism
- Tamoxifen therapy for breast cancer
What Are the Different Types of Ovarian Cyst?
The most common type of ovarian cyst is called a functional cyst. Functional cysts are usually not dangerous and often do not cause symptoms. If an ovarian cyst is non-functional, it is considered a 'complex ovarian cyst.'
Functional Ovarian Cysts
There are two types of functional ovarian cysts: follicle cysts and corpus luteum cysts.
Follicular cysts contain a follicle that has failed to rupture and filled with more fluid instead. Corpus luteum cysts occur when the follicle ruptures to release the egg, but then seals up and swells with fluid. Corpus luteum cysts can be painful and cause bleeding. When bleeding occurs in a functional cyst, it is known as a hemorrhagic cyst.
Complex Ovarian Cysts
Other types of ovarian cysts may be associated with endometriosis, polycystic ovarian syndrome (POS) and other conditions. Polycystic ovaries occur when the ovaries are abnormally large and contain many small cysts on the outer edges.
Non-cancerous growths that develop from the outer lining tissue of the ovaries are known as cystadenomas. A cyst can also develop when uterine lining tissue grows outside the uterus and attaches to the ovaries; this is known as an endometrioma.
Ovarian Cysts During Pregnancy
Ovarian cysts during pregnancy are usually functional ovarian cysts discovered in the first trimester. Ovarian cysts during pregnancy tend to resolve on their own before childbirth.
What Are Signs and Symptoms of an Ovarian Cyst?
Many times ovarian cysts do not cause symptoms. When symptoms do occur, they may include the following:
- Pain during intercourse or menstruation
- Abdominal fullness
- Nausea
- Vomiting
- Unusual bleeding
- Weight gain
- Inability to empty the bladder completely
- Breast pain
- Aching in the pelvic region, lower back, or thighs
The following symptoms need immediate medical attention:
- Severe abdominal pain that comes on suddenly (may be a sign of a ruptured ovarian cyst)
- Fainting
- Weakness
- Dizziness
- Rapid breathing
- Abdominal pain that occurs with vomiting and a fever
How to Test For Ovarian Cyst
Ovarian cysts can be diagnosed a few different ways. Once a doctor suspects an ovarian cyst, additional tests will be performed to confirm the diagnosis.
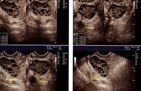
Pelvic and Transvaginal Ultrasound
Ovarian cysts are often detected during a pelvic exam. A pelvis ultrasound can allow the doctor to see the cyst with sound waves and help determine whether it is comprised of fluid, solid tissue, or a mixture of the two. A transvaginal ultrasound consists of a doctor inserting a probe into the vagina in order to examine the uterus and ovaries. The examination allows the doctor to view the cyst in more detail.
Laparoscopic Surgery
During laparoscopic surgery, a doctor will make small incisions and pass a thin scope (laparoscope) through the abdomen. The laparoscope will allow the doctor to identify the cyst and possibly remove or biopsy the cyst.
Serum CA-125 Assay
A cancer-antigen 125 (CA-125) blood test can help suggest if a cyst is due to ovarian cancer, but other conditions -- including endometriosis and uterine fibroids -- can also increase CA-125 levels, so this test is not specific for ovarian cancer. In some cases of ovarian cancer, levels of CA-125 are not elevated enough to be detected by the blood test.
Hormone Levels
The doctor may order a pregnancy test and assess hormone levels. Blood tests can also be performed to test for other hormones that may cause polycystic ovarian syndrome.
Culdocentesis
A fluid sample from the pelvis may be taken in order to rule out bleeding into the abdominal cavity. Culdocentesis is performed by inserting a needle through the vaginal wall behind the uterine cervix.
What Are the Treatments for Ovarian Cyst?
Many functional ovarian cysts do not require any treatment, and they often resolve on their own. Ovarian cysts -- especially fluid-filled cysts -- in women of childbearing age are often managed with watchful waiting. This involves undergoing a repeat exam 1 to 3 months after the cyst is discovered. If the cyst has disappeared or if there is no change, no treatment may be necessary.
Medications
Pain relievers such as ibuprofen can be used to help reduce pelvic pain. These anti-inflammatory medications do not help dissolve the ovarian cyst, they only offer relief of the symptoms. If a woman has frequent functional ovarian cysts, the doctor may prescribe hormonal birth control to prevent ovulation and decrease the risk of forming new cysts.
Ruptured Ovarian Cysts
Pain medications can help reduce the uncomfortable symptoms of a ruptured ovarian cyst. Usually surgery is not required, but a ruptured dermoid ovarian cyst (a type of benign tumor that contains many types of body tissue) may require surgery because the contents of the cyst are very irritating to the internal organs. Surgery may also be required for ruptured ovarian cysts if there is internal bleeding or the possibility of cancer.
Ovarian Cyst Surgery and Benefit
If an ovarian cyst continues to grow, does not resolve on its own, appears suspicious on ultrasound, or is causing symptoms, the doctor may recommend surgical removal. Surgery may be recommended more often for postmenopausal women with worrisome cysts, as the risk of ovarian cancer increases with age. An ovarian cyst may be removed surgically by laparoscopy or laparotomy. Laparoscopy involves the removal of the cyst by making several small incisions in the abdomen. The doctor will then use a camera and specialized instruments for removal of the cyst.
If the cyst is large or the doctor suspects cancer, the surgeon will perform a laparotomy, which involves a large abdominal incision. In some cases of ovarian cysts, an ovary and/or other tissues will have to be removed. A premenopausal woman who has one ovary removed will not become infertile nor go through menopause due to the procedure.
What Is the Prognosis of an Ovarian Cyst?
The prognosis for women, especially premenopausal women, who have functional ovarian cysts is very good. Most of these cysts resolve within a few months on their own without treatment. The prognosis for women who have other types of ovarian cysts depends on a variety of factors. A woman's age, health status, and underlying cause of the cyst all factor into the prognosis.
Age
Hormonal stimulation of the ovary determines the development of a functional ovarian cyst. A woman who is still menstruating and producing estrogen has a more likely chance of developing a cyst. Postmenopausal women have a lower risk for developing ovarian cysts because they are no longer ovulating or producing large amounts of hormones. Younger women who are developing larger amounts of hormones are more likely to develop ovarian cysts than postmenopausal women.
Cyst Size
The size of a cyst directly corresponds to the rate at which they shrink. Most functional cysts are 2 inches in diameter or less and do not require surgery for removal. However, cysts that are larger than 4 centimeters in diameter will usually require surgery.
Can Ovarian Cysts be Prevented?
Although ovarian cysts cannot be prevented, regular pelvic exams can help diagnose any changes in the ovaries. If a woman is premenopausal and has recurrent functional ovarian cysts, birth control pills or other hormone therapy may help prevent new cysts from forming. Most ovarian cysts resolve on their own without treatment and are not dangerous.
